7 неделя .
Беременность- 1 триместр ( только до 10 недель)
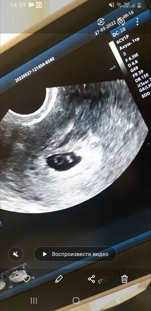
Была на УЗИ. По УЗИ срок 6 недель и 4 дня . Увидела как бьется сердце ❤ это чудо ! Врач сказала что все в норме , и теперь ждем скрининг.
Лучший ответ
Катерина
От всей души поздравляю ))) я тоже сегодня только с УЗИ🙈 срок 7 неделек ровно поставили) так что мы с Вами прямо рядышком )
27.05.2022
Ответить
Irina malina
Скажите, вы сдавали какие то анализы? Хгч/прогестерон? Был токсикоз?) у меня 2 дня как почти не тошнит, я уже переживаю, узи 10/03
05.03.2023
Ответить
VeLL
Наталья Садкова, спасибо! Но я не слышала. Только видела сокращения. Сюда видео не могу добавить. Аппарат не берет сердце на таком раннем сроке . В итоге просто видно эмбрион и как сокращается сердце. 114 ударов
27.05.2022
Ответить
VeLL
Наталья Садкова, мне сказала что ее датчик не уловит. Только на экране будет видно . Я видел сняла)))) так мило
27.05.2022
Ответить
Наталья Садкова
VeLL, да согласна приятные ощущения, я тоже сначала увидела как пульсирует а потом она включила послушать, дай Бог следующий раз на скрининг теперь только
27.05.2022
Ответить