22н и 4д. 🤗Урраааа! 🥳🥳🥳Новый рубеж пройден! 😁👍
Доброго денёчка всем🤗🤗🤗
Рассматривали моего мальчишку сегодня вдоль и поперёк - крепыш, все органы как часики работают, 27 см и 554 гр мы уже😁☝️
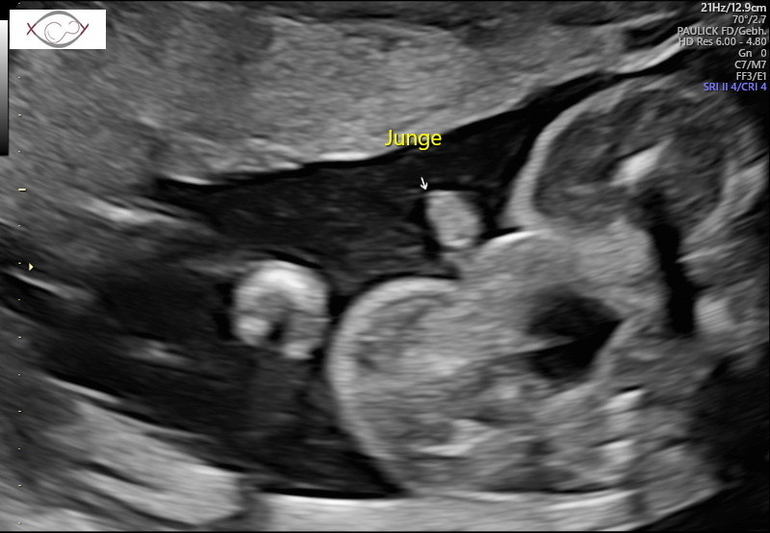
Теперь я особо ничего уже не боюсь👍 2,5 недели назад писала пост о не полном предлежании плаценты, она за это время поднялась и уже 2,5 см от зева🤗Ура, ура, ура🥳🥳🥳 Особо беременной себя до сих пор не чувствую, в том плане, что ни отёков, ни какого то дискомфорта пока не ощущаю, но жду, готовлюсь морально🤪. Для папы нашего сделали фото писюна, чтобы уж точно он уже был уверен, что мальчик😅🤣🤣🤣 Пяточку, которой малой мне пиночки отвешивает и личико попытались сфоткать, но скромняшка всё ручками закрывался.
Всё, можно перестировать вещички и складывать в комод😁(естественно уже кое что купила, как удержаться то? 😅🤪)
Всем здоровых малышей! 😘🤗🤗🤗




Лариса
Поздравляю! Как хорошо, что плацента поднялась 🙂. Теперь можно наслаждаться беременностью. Фотографии супер получились😍.
23.06.2020
Ответить
Всебудеттаккакмыхотим
Поздравляю 😁
Мне тоже делали Фото стопы 🥰😍
И каждый раз получаю фото достоинства, что бы не сомневаться 🤣
23.06.2020
Ответить
РозовыйПион
Прздравляю !
Очень хороший малыш ! (Тьфу тьфу тьфу чтоб не сглазить)
Вы уже большие) мне сказали только вес , а вот рост не говорили )
23.06.2020
Ответить
Поздравляю!