Это только начало!
Уход за зубамиЕсть у нас замечательная пациентка, будущая мама и просто красавица, с которой мы познакомились имено на ББ.
Фотографии будут дополняться, ведь работа идет.
ДО

ПОСЛЕ

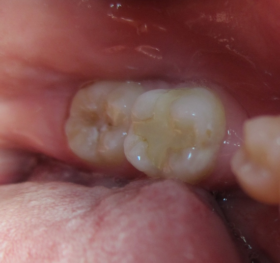
Самое интересное оставим на закуску.
Фотографии будут дополняться, ведь работа идет.
ДО

ПОСЛЕ

Самое интересное оставим на закуску.
Ольга
Алина, добрый день))) С зубами или мастерами всю жизнь не везло, все коронки потеряла (их 4 было) теперь там зияют черные дыры(((( импланты боюсь ставить, боюсь отторжения. Решила, может протезы.... В ощем интересна цена вопроса+/-????
27.06.2012
Ответить
Алина Русикова
Ольга, здравствуйте.
А про какие по счету зубы мы ведем речь?
Зубов совсем не осталось?
Может вы можете сбросить фото в личку, чтобы я не мучала Вас вопросами и более-менее могла ответить)?
29.06.2012
Ответить
Ольга
сфотать пока не получается(((( по счету, 6-7 с лева,6 с права 7 под вопросом, он еще есть)))) да зубов совсем не осталось, все сгнило под коронками

29.06.2012
Ответить
Алина Русикова
Значит, нужно сделать панорамный снимок, чтобы все понятно было.
А коронки стоят от 12,5.
Это если брать просто коронки....
29.06.2012
Ответить
Ольга
а можно мне тоже адрес в личку? Вы в Москве? Я тут столько лет, а вот стоматолога так и не нашла хорошего....а ооочень нужно уже...
11.04.2011
Ответить
Алина Русикова
Ольга, сейчас переезжаем в Реутов, открываем кабинет с уклоном на адаптацию деток, но и взрослых принимать будем, клиника очень близко от МКАДа по Носовихинскому шоссе. В Перово доводим пациентов, так что, если все-таки заинтересует, оставлю координаты, чтобы договориться.
11.04.2011
Ответить
Ольга
да, я знаю, где Реутов. Это не так уж и далеко. Если можно, оставьте все-таки координаты))))
11.04.2011
Ответить
татьяна
киньте адрес клиники в личку и примерную цену на лечение и пломбирование
02.04.2011
Ответить
Алина Русикова
А на этих фото- желтизна- качество освещения. А так зубы в одном цвете с соседними.
26.03.2011
Ответить
Валентинка
Алина у меня (седьмой зуб) теперь чувствительный стал, жевать страшно на нём, ощущение что заболит сейчас, и на холодное реагирует (ела мороженое), потом Хадену скажу в воскресенье конечно, это же ведь не нормально -?!
23.03.2011
Ответить
Алина Русикова
Он запечатает все канальцы, которые могут давать чувствительность. Все, что нужно, впитается, а остальное счистится. Но он все равно прозрачный.
23.03.2011
Ответить
Наталья
пломбы супер, но вот сейчас я точно поняла что стоматолог это не мое...)
21.03.2011
Ответить
Алина Русикова
Да, пломбы.Хм, а ведь вы правы...Как же узнать про обновления? А я буду выкладывать каждый раз, как новый:)
21.03.2011
Ответить
Ирина
Мне кажется, было бы очень удобно комментариями к этому посту, тогда можно режим слежения включить.
21.03.2011
Ответить
Алина Русикова
Аааа, то есть я буду дописывать комментариями, а Вам будет видно?Очень хорошая идея.Так и сделаю.Спасибо!
21.03.2011
Ответить
Ирина
Спасибо Вам)) Подписываюсь на комментарии)) А пост можно закрепить вверху дневника и дописать до среза другим цветом: "Включайте режим слежения, в комментариях будут выкладываться новые фото" - типа такого.
21.03.2011
Ответить
Анастасия
Можно расценки на вкладки и постановку коронки, скорее металокерамикуу. верхняя семерка сейчас с лекарством в каналах. 9 числа повторное пломбирование каналов а потом нужна коронка:))Можно цену сколько будет стоить все сразу, вкладка, коронка, работа:)Жду
30.10.2012
Ответить

