узи 5 недель и 2 дня
Вопросы про УЗИ, обследования и анализы: что, где, как, когда?девочки подскажите, пожалуйста, насчет узи. Сегодня была у врача, но он мне ничего толком не сказал кроме "приди через неделю" а я ничего не понимаю по этой фотке. понимаю только что эмбриончика не видно, нормально ли это? может просто слишком рано? я даже не очень понимаю где границы матки...девочки скажите ваше мнение!
Tatiana
очень рано) мне в 7 недель делали в прошлую беременность, ребенок был несколько мм, ничего еще не видно, у вас подавно)
12.08.2014
Ответить
Светлана Шевченко
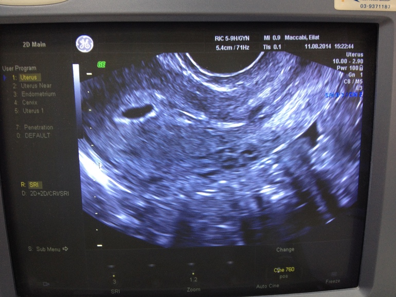
Для эмбриона еще рано, ПЯ высоко — это хорошо=) (если смотреть, то верх матки слева, шейка — справа) некруглое, потому что ракурс такой взят.
12.08.2014
Ответить
Anastasia
Спасибо за пояснение расположений! Насколько я понимаю то что на фото слева у меня это правая сторона? Или я ошибаюсь?
12.08.2014
Ответить
Светлана Шевченко
Неа, на картинке она изображена "лежа/горизонтально")) слева верх, справа низ
12.08.2014
Ответить
Iririrka
Меня вот тоже на прошлой неделе завернули (было 6 нед) и сказали прийти через неделю. Я сначала переживать начала ведь с первым уже на 5 нед все было прекрасно видно видно, а главное и эмбриончик уже был. А потом успокоилась все ведь по разному. Поэтому расслабтесь, отдыхайте, а главное наслаждайтесь)))
12.08.2014
Ответить
Anastasia
Ну как врач сказал что каждый день все меняется! Так что терпеливо ждем
12.08.2014
Ответить
Anna Maria
Плодное яйцо видно, а ембриончика ещё не видно. У меня ембриончик стал виден на 8 неделе. Все ещё впереди, не переживайте.
11.08.2014
Ответить
Ксю
сейчас на таком сроке еще не видно сердцебиение, через неделю должно быть видно, вообще в 7 недель надо идти на узи- послушать сердечко
11.08.2014
Ответить
Анна
Да, в левом верхнем углу плодное яйцо, а эмбриона еще нет. Срок еще маленький, не волнуйтесь 

11.08.2014
Ответить
Anastasia
Спасибо! А почему именно слева? Просто такой ракурс врач сделал? Я думала должно быть по серединке
11.08.2014
Ответить
Юкки
У меня в 5 недель было только ПЯ 7 мм. Через две недели уже был эмбрион и сердцебиение.
11.08.2014
Ответить
