2й скрининг пройден!
Всё о нашей беременностиВсем привет! Ну вот и 2й скрининг позади , все хорошо. Малыш пинается постоянно , это очень приятное ощущение))
Я чувствую себя отлично , шейка 38мм, закрытая, малышик весит 295 грамм уже ) на узи нашли 2 кисты в головке , но врач сказала что это нормально , что они рассасываются к 26 неделям, даже не нужно думать о них и нет необходимости ходить на узи до 3го скрининга. Поэтому я спокойна )

Девочки односрочницы , как дела ?
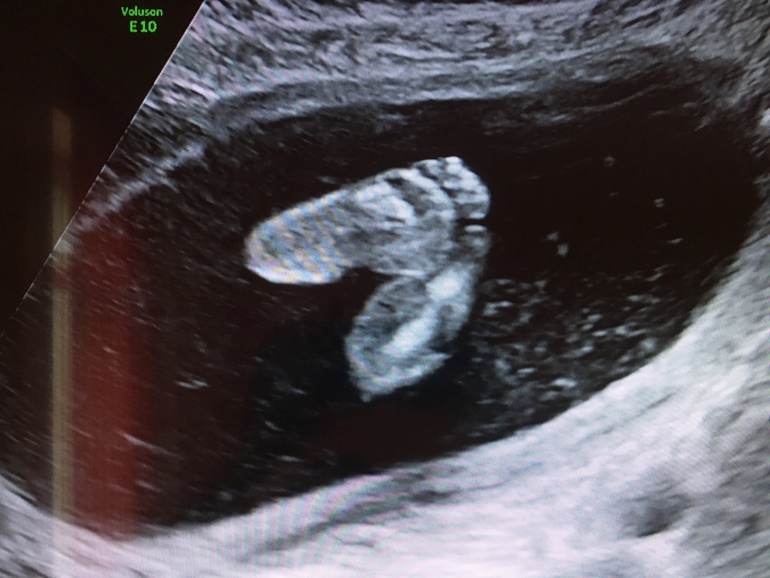
Ну и фото пяточек которые меня пинают ))) 
Ольга
У нас срок с тобой рожать одинаковый,но мы прям большие ,по 2 ому скринингу вес 430 гр,к тому же многоводие
30.03.2020
Ответить
Всебудеттаккакмыхотим
У меня на таком же сроке на узи сказали 287 грамм вес.
Сидит на попе.
Дела отлично. Пинаемся хорошо:))
Скрининг в понедельник уже будет 20+4. Жду.
Поздравляю с хорошими результатами.
11.03.2020
Ответить
Bimba
Привет-привет! Уже и второй скрининг, мать честная! У меня в четверг-волнительно это все конечно! Пол мы до сих пор не знаем, будем просить написать на листок и решим, что с этим делать! Поздравляю, все самое страшное позади-и все прекрасное впереди! Гормоны ещё принимаешь?
10.03.2020
Ответить
Яна
Привееетт)))
Да, время летит не то слово!!! В мае в декрет уже!
Мы торопыжки уже и коляску купили , но были скидки и мы просто не смогли не купить )))
Принимаю 2по 200 утрожестана, но наверно после приема у гини 20.03 она отменит 200.
А кого хочешь, мальчика девочку ? ))
10.03.2020
Ответить
Bimba
Я уверенна на 90% , что мальчик! Знаю, что не расстроюсь в любом случае! Мужа тоже настроила, о бредил о дочери! Я все ещё на 3 по 200! Буду говорить с врачем, пора завязывать
10.03.2020
Ответить
Дай семок
Поздравляю ) Мы пораньше прошли. ))
А сегодня меня накрыло: сдают ли торч при Б? Меня не посылают. Два кота в доме, которых не целую разве что в попец
10.03.2020
Ответить
Яна
Ой я своего расцеловываю каждый день ) они же не гуляют , так что не переживайте)
10.03.2020
Ответить
Дай семок
Мои тоже не гуляют, но чот меня коротнуло неслабо.🤣 Умом вроде понимаю, что всю жизнь с кошками с детства. Если чо, уже б заразилась точно. Но как давай гуглить 🙈 Прям успокоили, девочки. Спасибо))
10.03.2020
Ответить
Bimba
Я честно говоря сама об этом задумалась! Ладно мы ЭКОшки, анализов этих сдали-пересдали! А вот если бы я случайно забеременела, у меня ни мазок не взяли из-за утрика, ни торч, кроме мочи и крови общих ничего! Ну да ладно, меньше знаешь-лучше спишь :)
10.03.2020
Ответить
Дай семок
Да как вообще девочки пролетают, не готовясь, - и всё ок! - для меня загадка. Нереальное везение! Но дай бог, конечно)))
10.03.2020
Ответить
KSU
Тоже не сдавала при наступлении б... и дома два кота... тоже расцеловываю 😻 до протокола сдавала и все🤷🏼♀️
10.03.2020
Ответить
Дай семок
До мы все с вами сдавали и не один раз. Я лаже сдавала торч, пока на сохранении лежала и там всё было ок. Но дурная голова ногам покоя не даёт 🙊🤣 В моем случае рукам: загуглить так, чтоб испугаться 😅
10.03.2020
Ответить
Helen
Это и вправду пяточки? Можно по ним пинетки вязать😄
Пусть малыш чувствует себя комфортно и родиться в положенный срок💕
10.03.2020
Ответить
Яна
Спасибо, Дай Бог чтобы родился в срок здоровенький, мой долгожданный сынок !
10.03.2020
Ответить
iren
Вот правильно, меньше нужно нервничать. Если врач говорит, что все норм, значит так оно и есть.
Но! На цервикометрию я бы Вам советовала сходить через месяц, например. Шейку надо контролировать.
10.03.2020
Ответить