Гсг и лапара. Подскажите советом и взглядом.
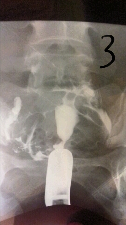
Лапароскопия, гистероскопияДобрый день девочки. Не знаю раздел куда написать, но думаю сюда. Сделала я гсг проверку труб рентгеном. Жидкость прошла, но не сразу, минут так 5 думаю лежала, хотя может меньше. Показало спайки в брюшной полости и вроде как в ампулярных отделах, так как они были расширены при поступлении контраста. И также сказали, что спайки скорее всего из-за эндометртоза. Кто сталкивался с такими проблемами, может подскажите, что по этому и по снимкам.
А вмешательства были в 2006 году кесарево и в 2012 где-то прижигали эррозию ш/м., кстати как мне казалось именно после прижигания начались задержки и мои эти все планирования, хотела вот прижечь и в бой. Не тут то было. Вот в следующем цикле пойду на лапару.






Светлана
У меня по узи всегда все хорошо было. Но тк бесплодие было уже года 3 и не могли найти причину, то отправили на проходимость труб. Я делала сгг, это тоже самое, только под узи. Обе трубы полностью проходимы. А еще через 6 мес безуспешных попыток я пошла на лапару. Там нашли спайки (снаружи труб пару штук) и эндометриоз, трубы полностью проходимы. Хотя до этого никто даже и не предполагал, что он у меня может быть. И после лапары я начала собирать доки на эко по омс, в процессе чего еще выяснилось, что у меня сниженный овариальный резерв (низкий амг) и лучше не терять время на еб. А эррозию мне раза 2 прижигали и после этого врачи на кольпоскопии даже не видели место где именно. Поэтому вряд ли у вас спайки из-за прижигания эррозии пошли. Не бойтесь, делайте лапару. Я делала по направлению в 57 больнице, там хорошая бригада в гинекологии работает. И скорее всего можно к заведующему на платной основе подойти, у него свой сайт есть.
16.05.2017
Ответить
Dasha
мое мнение про ГСГ - это полная фигня! Убедилась лично! Раньше не верила в такую теорию, что от боли и страха трубы могут сжиматься... А я на столе рентгеновском ой как боялась, меня аж подтряхивало и больно было - жуть! В итоге результат: обе трубы ПОЛНОСТЬЮ не проходимы!!!! Приговор: только ЭКО! После пролетного ЭКО напросилась на гистеру, там нашли ХЭ (по УЗИ всегда всё идеально!). Основательно его пролечила, после которого случилась ЕБ! Так что теперь я точно уверенна, что с трубами у меня всё ОК! А на снимке они непроходимы были из-за того, что просто сжались от боли и страха!
Так что если и делать ГСГ, то ТОЛЬКО с наркозом, либо тогда уже сделать лапару!
16.05.2017
Ответить
Ирчикк
Так я гсг сделала уже. Мне было не больно, только мне по-моему кожу прищемили, тем, что шейку фиксирует, от этого боль была. Правда укол мне делали обезболивающий до. А вот прижигали когда эрозию, ох как больно было жуть, аж до зубов дошел этот ток,тоже был укол перед. Хотя мама рассказывала ей вообще не больно прижигали. И один врач делал это все мне, вот так бывает. По этому и грешила на эррозию, тк на ней что-то пошло не так и были сильнейшие боли, которых не должно было быть. А что такое ХЭ? Готовлюсь сейчас к лапаре, в июне буду делать. Пролетов много естественным и инсемминация была пролет и бывало по 5, по 2 несколько раз фолликулов выростали и подтверждались овуляции и пролеты... А первая беременность была в 2006 году ест образом, на 2ой месяц планирования и от этого же мужа моего) Мои личные подозрения на спайки в районе выхода яйцеклктки. Все узнаю.
16.05.2017
Ответить
Tanchik
У знакомой спайки в трубах были из-за хламидий.Причем узнала будучи беременной после эко по анализу крови.Просто мазки не показывали инфекции.
16.05.2017
Ответить
Ольга
Лапора более информативна. Мне ставили по ГСГ непроходимость обеих труб, а лапора показала что трубы проходимы.
16.05.2017
Ответить
Ирчикк
Да пойду на лапару. Только жуть боюсь не самой операции, а за свои трубы и яичн., что б не попортили. Смотрела видео разные, жесть, что они там творят с яичниками.
16.05.2017
Ответить
Ирчикк
У меня врач знакомая детства, с моего двора. Помню ее взбалмашной деонкой. Вот шут ее знает какой она врач. Кладут по омс, в государственную.
16.05.2017
Ответить
Юлия
Тоже делала в свое время ГСГ, по ее результатам одна труба была проходима, вторая нет. А спустя несколько месяцев делала лапару, по результатам которой спайки убирали на обеих трубах. Из чего я сделала вывод, что ГСГ не особо информативная процедура к сожалению...
15.05.2017
Ответить
Натали
Полностью согласна. Все эти процедуры ведут только к лапаре. И гистероскопия также проводится в диагностических целях. Ну пробьют они раствором трубы, но это я думаю особой пользы не приносит. На снимках видно, что жидкость изливается в брюшную полость, значит проходимость есть, но если частичная, это уже не то. Так что не тчните, ларара, пару месяцев если еб нет и на Эко.
15.05.2017
Ответить
Ирчикк
Спасибо. Единственное очень боюсь, что на лапаре мой резерв яич попортят, пря жуть боюсь.
16.05.2017
Ответить
Juli
два раза проверяла трубы. Итог - лапароскопия. Там все хорошенько посмотрят, рассекут спайки и дренаж если надо. Наведут порядок. Лапара покажет все, а проверка это так общее состояние...показало что трубы проходимы,ну вышла жидкость
А вот после лапары мне а подробностях обо всем рассказали, что там да как. Состояние труб,яичников.Процедура хорошая но понятно что лишний раз лапару не делать. Всему есть своя цена. Это операция,вмешательство в организм. И все это дело времени...через год я пошла на вторую лапару, сново спайки и тд..От наркоза побочки могут быть. Я первый раз тяжело очень отходила от наркоза
16.05.2017
Ответить
Ирчикк
Понятно. У меня от эпидуралки было осложнение после. А спаек много опять да нарасло? От лапары? Получилось забеременнить?
16.05.2017
Ответить
Ирчикк
Ужас ((((я про спайки... и как быстро они вернулись и у многих так, не узнавали?
16.05.2017
Ответить
Juli
ну у меня через год все вернулось. Сново рассекали. Может у кого по другому, не знаю
16.05.2017
Ответить
Ирчикк
Понятно. Удачи с эко. Я тоже задумывалась об эко. Но пока решила попробывать без. Еще есть немного времени.
16.05.2017
Ответить
Juli
Спасибо! Я тоже лечилась до последнего...перепробовала все что можно было. Дальше уже тянуть некуда. Время идет а яичники с годами уже не те, или яйцеклеток мало или качество их плохое.
Удачи!
16.05.2017
Ответить
Ирчикк
А отчего спайки у вас? У меня вот главный вопрос. Кесарево 2006 год, без осложнений. Прижигали эррозию в 2012 грешу на нее, тк мне было жутко больно, даже врач подметила, что глубоковато что-то она сделала, вот и думаб от этого эндометриоз и спайки. Больше ничего у меня не было.
16.05.2017
Ответить
Юлия
В том то и дело, что у меня никаких вмешательств никогда не было! Врачи предполагали, что может воспалительный процесс сильный какой был в детстве был, но я б наверно его запомнила если б был... Но и лапра мне к сожалению не помогла, в июне год будет. Я в процессе ЭКО сейчас... Держитесь, дай Бог чтобы Вам помогла!
17.05.2017
Ответить
