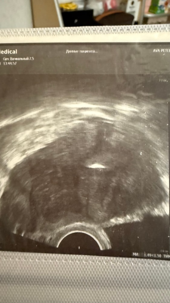
Крио ец куда перенесли эмбрион
Протоколы ЭКО (Все о них, все об этом периоде+Гиперстимуляция)Девочки могли бы вы приложить в комментариях фото с переноса куда в какое место матки перенесли вам эмбрион в успешном крио? Там есть обычно белая точка это и есть место переноса (точка различимая на узи) у меня есть подозрения что мне перенесли очень низко прям у цервикального канала и эмбрион мог попросту на 1дпп выпасть (были выделения в виде круглых кровяных сгустков)
также меня смущают множество белесых полосок по всей длине в структуре матки и в центре , были ли такие же у вас такие ? Очень обеспокоена поделитесь пожалуйста
Эмбрион после пгд отличник , сделана уже вторая гистера , матка без аномалий, был пролечен ХЭ, эндометрий трёхслойный 9-10 мм
Поддержка была как в космос мощная, умоляю вас поделитесь пожалуйста фото вашего успешного переноса - Например если делали в gms, или в иной клинике спасибо большое
Грешу на то что мне перенесли слишком низко!

Лучший ответ
Вот мой перенесенный который уже родился
И выпасть он не может:)