Плохо удваивался хгч. А потом оказалось все хорошо. И тесты с 4дпп
Я БЕРЕМЕННА !Девочки, история для тех, кто будет как я недавно в панике искать похожие посты.
Утомленная пролетными переносами я, наконец, впервые вижу хгч больше 5. Это был 4 дпп.
Тут же испарилась моя невозмутимость.
И я превращаюсь в хгч и тесто-маньяка.
вот моя динамика:
4 дпп 8.08 7

5 дпп 9.08 24
7 дпп 11.08 95
8 дпп 12.08 150
10 дпп 14.08 239
11 дпп 15.08 285
12дпп 16.08 301
14дпп 18.08 415
На этом месте большинство писала мне в пример истории как все закончилось бхб и зб.
Я готовилась морально к любому исходу.
Далее так:
15 дпп 19.08 575
16 дпп 20.08 914
Напуганная историями с форума я радовалась, но аккуратно.
а потом
17дпп 21.08 1288
на 18 дпп иду к врачу.
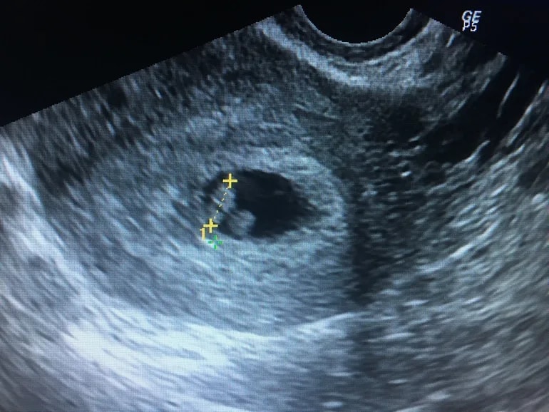
пя в матке.
остальное без комментариев. Как ни прошу, не ищет, говорит, нет смысла.
приходите позже.
и вот на 28 дпп не выдерживаю, иду на узи в другое место раньше заявленного срока (меня ждут на 33дпп)
хгч 35900
Пя, жм, с+
все соответствует срокам! Сердечко стучит, всё на месте.
Встаем на учет, ждем первый скрининг.
Вывод: не кошмарьте себя хгч! если растет не ровно в полтора или два раза за 36-72 часа. Это не значит, что все пропало.
Знаете еще истории, делитесь!
Вместе мы такая сила, девочки!
Спасибо вам, что вы есть и есть это сообщество!

Лучший ответ