Сверлим? Нет, спасибо!
Информация о зубахУра! Нашелся промежуточный способ лечения кариеса- между фторированием и серебрением!
Кстати, его можно применять и у взрослых. Тоже дает сумасшедшие результаты)
Итак, знакомьтесь. Метод инфильтрации системой ICON.
Теперь меньше слов.
Фото)



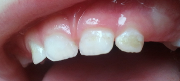
Молочные зубы.


Как этим пользоваться?
Никакого агрессивного вмешательства. Только мажем, моем, мажем,моем, ждем, сушим и повторяем.
Вуаля)))
Итак, плюсы:
- никакого серебрения, если мы говорим о молочном прикусе.
- результат моментальный.
- долговременные положительные прогнозы.
- без препарирования (сверления).
- безболезненно.
Минусы:
- ооооочень узкий спектр показаний, если уже есть дефект эмали- делать нельзя!
- если неправильно поставлен диагноз и зубы, которые нельзя инфильтрировать, все же обработают- возможен ожог пульпы.
- нужно просидеть с открытым ртом около 20 мин (это что касается детского приема).
- гипоплазию, флюороз, эрозию эмали так не вылечить.
Вот эти зубы можно вылечить данной системой.




А в этих случаях уже нужно другое лечение.


Главное, вовремя рассмотреть проблему и поставить правильный диагноз!
Кстати, его можно применять и у взрослых. Тоже дает сумасшедшие результаты)
Итак, знакомьтесь. Метод инфильтрации системой ICON.
Теперь меньше слов.
Фото)



Молочные зубы.


Как этим пользоваться?
Никакого агрессивного вмешательства. Только мажем, моем, мажем,моем, ждем, сушим и повторяем.
Вуаля)))
Итак, плюсы:
- никакого серебрения, если мы говорим о молочном прикусе.
- результат моментальный.
- долговременные положительные прогнозы.
- без препарирования (сверления).
- безболезненно.
Минусы:
- ооооочень узкий спектр показаний, если уже есть дефект эмали- делать нельзя!
- если неправильно поставлен диагноз и зубы, которые нельзя инфильтрировать, все же обработают- возможен ожог пульпы.
- нужно просидеть с открытым ртом около 20 мин (это что касается детского приема).
- гипоплазию, флюороз, эрозию эмали так не вылечить.
Вот эти зубы можно вылечить данной системой.




А в этих случаях уже нужно другое лечение.


Главное, вовремя рассмотреть проблему и поставить правильный диагноз!
Viki.sabanova
о! буду пробовать у вас! У меня на нижних зубах фронтальных начальный кариес начался, млин! ...
31.07.2011
Ответить
Алина Русикова
Викуль, это такая крутотень))))Бомба! А результаты! Из кабинета выходишь без кариеса)))
31.07.2011
Ответить
Алина Русикова
В России это используют с 2009 года, в Германии давно уже.Но результаты потрясают!!!!!
31.07.2011
Ответить
инга
Интересно, тем более с Полей в июле надо было к стоматологу, вот приеду сейчас в Москву и рванем к врачу, если что приеду к тебе - я правильно поняла ты работаешь в Реутове?
31.07.2011
Ответить