Невролгия или что?
Взрослые зубные проблемыДобрый день. Мучаюсь с зубной болью 2недели, болит то один, то другой зуб, то сверху то внизу нет точной локальности. Болит приступами два раза в час по 10-15мин. Сил терпеть уже нет. Два врача подозревают невролгию. Т.к. сделали панорамный снимок, по нему всё хорошо. Либо вскрывать каждый зуб. Кто с подобным сталкивался. Как диагностируют, вылечились ли Вы если это в самом деле невралгия?
Алёнушка
Здравствуйте, вы нашли в чем проблема была? Ц меня вот уже как 2 месяца тоже самое, сил нет, мы тоже на гв, правда у меня ночами ад начинается
28.04.2021
Ответить
Анила
Оля, у меня диагностировали периодонтит. 4врача смотрели и не заметили, а уже когда я от безысходности на массаж лица пошла, у меня сильнее заболело. Пришлось экстренно ехать к сестре в другой регион(она стоматолог), там то и вылечили
28.04.2021
Ответить
LalaKralya
Как дела с 8-ками ?
Вот мне такую непонятную боль давал зуб мудрости.
Я вообще думала, что проблема в другом зубе.
Пошла к врачу, он пересмотрел все, говорит, не вижу проблемы.
Отправил меня на процедуру, не знаю, как называется, не помню уже, мне проверяли каждый зуб на чувствительность.
Приставляли что-то к зубу и пропускали легкие импульсы тока, фиксировали порог боли на каждый зуб.
И как оказалось, моя верхняя правая 8-ка была проблемой.
Вырвали этот зуб (он в щеку рос, от него никакого толку и так не было) и проблема исчезла.
10.10.2020
Ответить
Anis
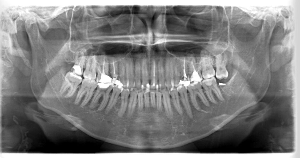
А с пазухой все хорошо, у лора были? На панорамном снимке не всегда удается рассмотреть проблемы с зубами, лучше сделать КТ. А при приеме пищи, от холодного, горячего боль усиливается? По ночам боли есть? Если есть возможность, прикрепите панораму, посмотрю
21.09.2020
Ответить
Анила
Anis, добрый день. У Лора не была, уши не беспокоят. На холодное горячее не реагирую. По ночам боль есть если проснусь сама попить, или в туалет(а от зубной боли не просыпалась) Была проблема с зубом 6ка с левой стороны наверху, по снимку видно что нерв удалили и канал не до конца запломбировали, и образовалась полость с гноем, зуб не болел, но появился свищ на десне этой 6ки, как врач обьяснил гной так просачивался с канала. Мы его не трогали т.к. не беспокоил и я то беременна то на гв была. Теперь свищ не беспокоит. но болит челюсть с правой стороны начиная от 2ки и до зубов мудрости. Боль сильная, при приступе уходит наверх к вискам. От этого болит голова и шея в затылочной области. КТ ещё не делала, врачи предлагают вскрыть 2ку и 6ку пока что.
22.09.2020
Ответить
Anis
Да, несколько зубов, которые теоретически могут беспокоить. А если уже была обнаружена киста на шестерке, то этот вопрос нужно срочно решать. Даже если свища нет, киста никуда не делась, это скорей всего и беспокоит. Гной в голове- это вам не шутки. Чревато серьезными осложнениями. Если удасться- перелечить каналы, если нет-удалять. По снимку сложно делать прогнозы.
23.09.2020
Ответить