Подскажите, что нам делать!
Алина здравствуйте!!!
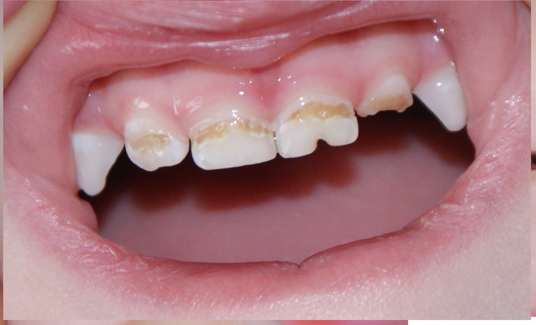
Ребенку 2,10.Вот такая ситуация. 
Ребенок не контактный, врачи говорят, что давайте подождём пока подрастёт и даст вылечить зубки. А куда ещё ждать? Посоветуйте пожалуйста, что нам с этими зубами делать!!!
Екатерина
А Вы мне не подскажите сколько это будет стоит в вашей клинике? и по времени сколько будет длиться наркоз, для таких зубов.
22.04.2014
Ответить
Алина Русикова
По времени- максимум 1,5 часа.В нашей клинике не проводят лечения с использованием общего наркоза.И я не веду приема под общим наркозом.
22.04.2014
Ответить
Алина Русикова
Здравствуйте.Пломбировать с использованием общего наркоза,т.к. на двух зубах очень похоже на пульпит.
22.04.2014
Ответить