Как лечить?
Добрый день, Алина!
Очень хочу услышать Ваше мнение!
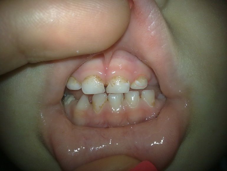
По ощущениям все зубки, кроме выделенного, гладкие, не цепляются за ноготь.
Записались на прием к очередному стоматологу... предыдущий опыт был печальным(( ставить пломбу на передний зубик не кто не захотел... "все равно выпадет..."
Сделали простое фторирование, представив его как глубокое, и посоветовали продолжать мазать гелем рокс (пользуемся ним уже достаточно долго... месяца 3. вижу, что эффекта нет )
Нам 2,4 Нижние моляры уже с пломбами. 
Насколько эффективно в нашем случае глубокое фторирование?
Что Вы можете порекомендовать?
Алина Русикова
Здравствуйте.Ни о каком фторирование и серебрение не может идти речи! Зубы нужно лечить!И нижние, как мне кажется по фото, тоже.
24.04.2014
Ответить