Кариес, ребенку 1 год и 9 месяцев
Алина Владимировна, добрый день.
Я прекрасно понимаю, что самая лучшая консультация - очная, но в связи с очень большой удаленностью в данный момент приехать пока нет возможности, поэтому надеюсь хоть на какое-то прояснение ситуации по фото.
Как я уже написала нам 1 год и 9 месяцев.


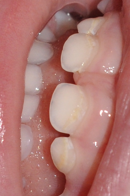
На внутренней стороне зубов изменений нет, все остальные зубы тоже пока в порядке.
В нашей единственной стоматологии сказали следующее. Начальная стадия кариеса, повреждена эмаль, дентин пока не затронут. Рекомендовали серебрение, когда окончательно вылезут клыки - фторирование препаратом White Varnish.
Так как к серебрению я отношусь отрицательно, у меня к вам самый главный вопрос поможет ли нам Айкон или уже поздно? И вообще, что нам лучше предпринять сейчас, чтобы спасти ребенку зубки? Есть ли смысл нам приехать к Вам в январе, так как Айкона в нашем городе естественно нет. По планам мы собирались быть в Москве в апреле, но из-за этой ситуации я готова уже их пересмотреть, если игра стоит свеч.
И еще в интернете встречала информацию, что Айкон не рекомендуется использовать в лечении кариозных зубов у маленьких детей. Как Вы думаете на чем может быть основано это утверждение?
Очень жду Вашего ответа, так как надо принимать какое-то решение и очень хочется потом в нем не разочароваться. Заранее огромное спасибо.