Кариес у сына
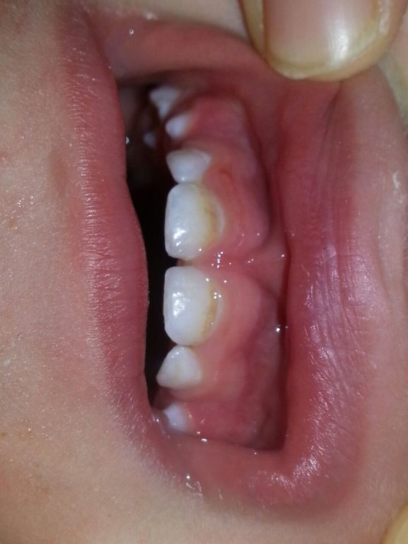
Добрый день. Месяца полтора или два назад заметила у сына белые полосы на зубах передних, прямо по десной.
Через месяц уже жёлтые полосы, и мы начали мазать тус муссом. Через неделю они сильно потемнели.
Врач пока сказал продолжить терапию тус муссом. Можно ли с тус муссом протянуть хотя бы до 3-х лет ? Сейчас сыну 1.8.
Первое фото, когда только обнаружили. Другие два на данный момент (почте тус мусса)


Алина Русикова
Здравствуйте.
Худшая ситуация на внутренней поверхности зубов. Там не просто "желтые полоски"- там уже заметные полости. Думаю, Вам это тоже видно.
И выход из данной ситуации- пломбирование.
До трех лет ситуация с зубами заметно ухудшится, да и почему ждать трех? Надеяться, что повзрослеет, станет сознательнее... Не стоит.
Стоит уже сейчас пломбировать зубы с использованием Севорана.
03.01.2016
Ответить