Пол ребенка на 31 неделе..

Лучший ответ

Ну так вам сфоткали девчачий пирожок , пацана тут не видно. Вы принимаете половые губы за яички .нам каждое узи и это больше 10 раз показывали девчачий пирожок . Ни с чем не спутать 😂
19.03.2025
Не знаю, кто вам там что говорит, но явно девочка на фото.
19.03.2025
У парней на таком сроке все причиндалы хорошо видны и 🌶️ тоже🤣 у вас явно девочка
19.03.2025
Половые губы вижу),но точно не торчок,как у нас)
19.03.2025
Ну конечно девочка. Очевидно)
19.03.2025
Я не особо в этом понимаю, но моя девочка выглядела очень похоже)
19.03.2025
Это девочка !
19.03.2025
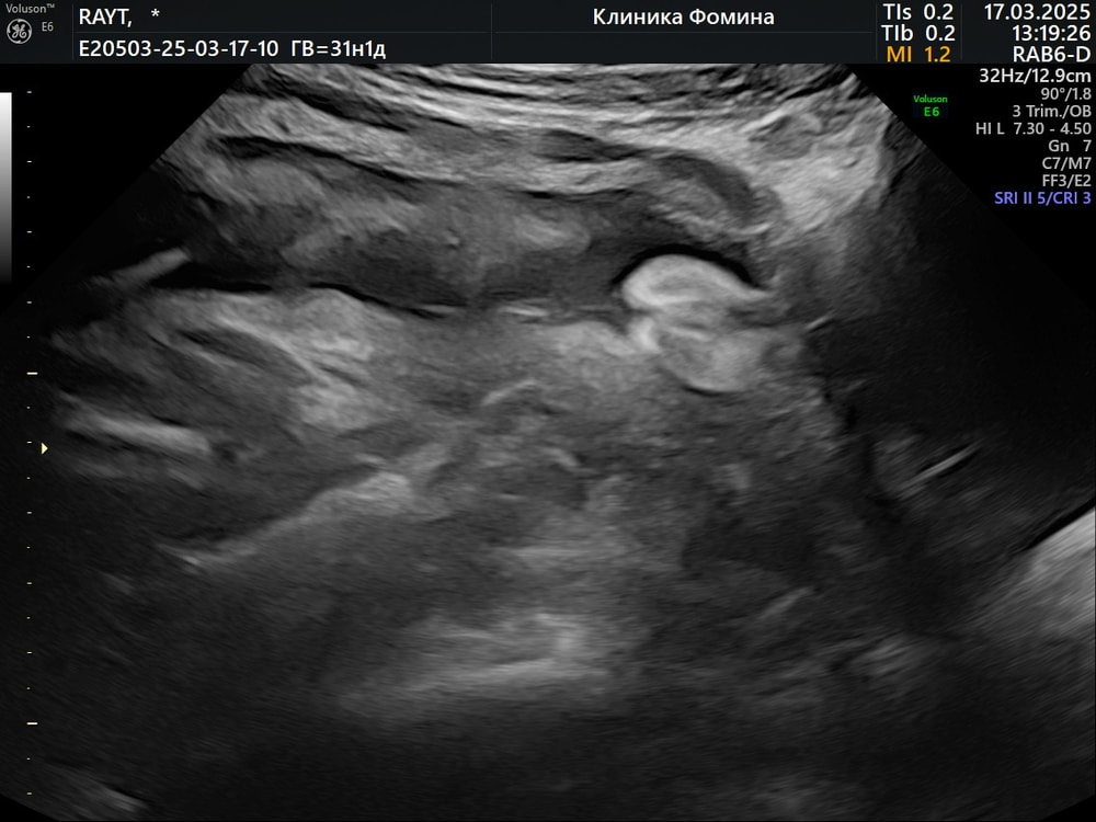
ИзображениеСобственно вот само фото
19.03.2025
Елизавета, я вижу девочку
19.03.2025
Елизавета, а кто вам говорит, что не похоже? Врачи (операторы аппарата Ультразвуковой диагностики?). Или просто обычные, без образования и наличия квалификации люди?
19.03.2025
Катя , люди с медицинским образованием,но немного другой специфики)) знакомые!)
19.03.2025
Елизавета, а нормальных фото нету?😁
19.03.2025
Маруся, это единственное фото за всю Б,когда смогли успеть запечатлеть это место
19.03.2025
Елизавета, вы даже можете в интернете набрать фото узи девочек и мальчиков и сами увидите разницу)
19.03.2025
Елизавета, по фотке- девочка
19.03.2025
Елизавета, а что не похоже? Половые губы видно же 🤦
19.03.2025
Екатерина, это знаете,когда ждешь девочку, а все вокруг начинают под сомнения ставить🙈 сама уже не уверена
19.03.2025
Елизавета, ну в 31 неделю ошибаться уже точно не могут. Еще до 15-16 недель ошибаются, а потом уже или свисток торчит или половые губы. Мне с дочкой такие же показывали в 21 неделю на узи
19.03.2025
Елизавета, девочка, губки пухлые, посредине разрез. Как моя врач говорила, у вашей дочи прекрасное кофейное зернышко, во весь экран показывает, не прячет)))
19.03.2025
Елизавета, ИзображениеВот Вам фото мальчика в 28 недель) у вас явная девочка😅
19.03.2025
Елизавета, девочка 💯 на этом сроке с мальчиком не спутать точно 🙂‍↕️ я видела и тот и другой вариант на подобных снимках
19.03.2025
Пол малыша в 18 недель Мальчик или девочка?