Беременность??? Или сбой???
Здравствуйте, задержка 5 дней, тест положительный! вчера ходила на УЗИ, врач беременность не подтвердил, но сказал в матке киста, и за маткой небольшая жидкость! Эндометрий 14,6
Может ли при кисте быть положительный тест? 
Алина Алина
У меня тоже так же как на рисунке до этого говарили что киста сегодня жыдкост есть но до этого даже киса была бы тест отрицательный был но шяс положительный думаю это не жыткость а плод
27.05.2022
Ответить
Кристина
Ну и врач!))) менять срочно, у этого врача не наблюдайте беременность, просите поменять
киста в матке 🤣
01.05.2021
Ответить
Татьяна
Про киста на шейке матки слышала, про кисту яичников тоже, но чтоб в матке...вы к очень странному врачу попали. Конечно такая не увидит ничего на таком маленьком сроке) у меня на таком внематочную не нашли. Насколько я помню, узистка говорила, что недели с 6 можно увидеть без преград) т.е. при задержке где-то 2 недели.
01.05.2021
Ответить
Виктория Рустамова
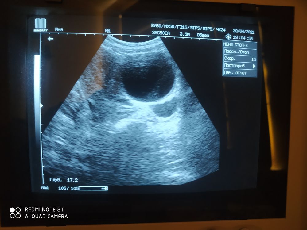
Первое фото где киста, второе фото-жидкость за маткой! Кто нибудь разбирается в этих снимках?) 

01.05.2021
Ответить
Виктория Лукьяненко
Киста не даёт хгч))беременны вы, странный врач какой то если честно,попозже на узи сходите и увидят у вас всё, через недельку
30.04.2021
Ответить
Виктория Лукьяненко
Виктория Рустамова, я сама пришла к врачу на следующий день после задержки и двух полосок)) она меня послала домой и сказала дней через 10 придти на узи, сейчас ещё ничего на узи не увидят
30.04.2021
Ответить
Виктория Рустамова
Виктория Лукьяненко, Меня пугает что за киста в матке и что за жидкость за ней)
30.04.2021
Ответить
Виктория Лукьяненко
Виктория Рустамова, если вас пугает, сходите в платную через дня два, жидкость это вроде норма после овуляции и тд, но девочки которые лучше разбираются подскажут, я не удивлюсь если такой узист вам кисту с плодным яйцом перепутал)
01.05.2021
Ответить
Виктория Лукьяненко
Виктория Рустамова, значит просто поменяйте узиста и сходите через несколько дней если вы очень переживаете, всё у вас хорошо будет,я думаю просто узист не грамотный попался. Такие полоски явно беременные))
01.05.2021
Ответить
Svetlyachok
Виктория Рустамова, вы уверенны, что киста именно в полости матки, а не в яичнике? Может это киста желтого тела и тогда это абсолютно нормально, она и должна быть, плохо, если б ее не было. Жидкость в позадиматочном пространстве является нормой.
Вы слишком рано пошли на узи, конечно там еще ничего не увидят.
Вы беременны, это 100%
01.05.2021
Ответить
Виктория Рустамова
Svetlyachok, спасибо!) Судя по тому какой мне попался врач, я уже не уверена, что киста в матке)))
01.05.2021
Ответить