В мае поставили И́стмико-цервика́льную недостаточность. В 16 недель наложили швы. теперь каждые две недели осмотр и т.д. Волнует вопрос как поведут себя швы при повышеном тонусе? Начиталась всяких страшилок.Жду недождусь приема своего Г. что бы каждый раз услышать что все в порядке. И все равно ужасно волнуюсь. Сразу после выписки со швами врач заикнулась про генепрал вроде,что позже его назначит что бы не было напряжения, вот и думаю позже это когда? Еще так как гинек. прописала мне полный половой покой еще с 5 недель...чаще просыпаюсь в возбужденом состоянии. и опять думаю про эти швы...
ну вот мы встали на учет. теперь мы с деткой в официальных отношениях 
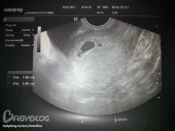
Может кто сталкивался с такими вот картинами на узи? Врач поставила диагноз что отслоение какое-то, но так же сказала что может быть и многоплодная была но один плод стал развиваться а второй нет. вот сижу и плачу ;(


а их могло бы быть и два(


можете меня поздравить ... оно пришло.
Сижу смотрю какую то фигню по телику, Никогда не смотрела все телешоу и в том подобное. Так на заднем фоне телик включен, и тум появляется какой то момент, где мне безумно жалко актера, ну жаль и жаль, но я в слезы. И самой смешно а слезы бегут и все.
Девченки это с вами тоже бывает? кто как справляется? не могу же я постоянно лить слезы или не включать телик вообще?
Кто живет в ЮЗАО (г. Москва) ?
мой роддом в будущем номер 10 .
хочу отзывы !
кто со мной на учет через 3-4 недели пойдет туда вставать?




