Наконец-то вчера с мужем съездили на скрининг
Я очень волновалась!!!! Но слава Богу оказалось, что зря! Узистка все измерения проговаривала вслух. И по скольку я уже начиталась какие показатели считаются нормой, то с каждым её словом я про себя вздыхала с облегчением :)) Потом она стала пытаться прослушать сердцебиение. Но что-то у неё не получалось и слышно было только какие-то шумы... Я заволновалась. Но при повторной попытке сердечко застучало!!!!!
Это было так трогательно
Не смогла сдержать улыбку)) Внутри меня маленькая жизнь!
Вот и наши результаты:
Срок беременности 12 нед. 3 дня
КТР: 54 мм, что соответствует 12 неделе беременности
ЧСС: 164 уд/мин
ТВП: 1 мм
Носовая кость: 2.1 мм
Преимущественная локализация хориона передняя
Структура хориона не изменена
Врождённые пороки развития не обнаружены
Единственное, очень хотелось бы увидеть малыша своими глазами!! А то ничего мне не показали и о фото можно лишь только мечтать. Многие делятся своими впечатлениями от увиденного, как кроха уже на таком сроке дёргает ручками и ножками))) И мне уже так охото взглянуть, ведь на прошлом УЗИ он был всего лишь точечкой)) Поэтому подумываю о платном, где всё подробно расскажут и покажут. Но наверно не сейчас, а недельки через 2-4. Одной моей знакомой на 14-ой неделе по 3D УЗИ определили пол. Многое зависит от оборудования и опытности врача. Так что думаю тоже схожу, уж очень интересно узнать кто у нас будет
:))
Токсикоз у меня прошёл!!!! Длился с 6 по 11 неделю. Сейчас ничего не беспокоит, наслаждаюсь беременностью! Уже заметно выпирает пузико 
Вчера был первый поход к моей Г. Взяла она у меня мазок, на след. неделе начну сдавать анализы. Зачем-то прописала Дюфастон.... Как она сказала: "Чтоб подстраховаться". Причем, что никакие анализы я не сдавала, она просто посмотрела меня на кресле. Я под большим сомнением пить ли его... Стоит ли пичкать себя таблетками просто так..
Ну и вот, вернулась я домой и к вечеру началось! Я заболела(((((( Учитывая то, что нельзя использовать большинство лекарств, это просто КОШМАР!!!!!!!!!!! Да и сама простуда очень нежелательна на ранних сроках((( Побаливает горло, заложило нос. Капала Аквамарисом, но по сути толку никакого от него.... не пробивает. Ночью никак не могла заснуть, просто задыхалась
В итоге не сдержалась, закапала Назолом... и быстро заснула. Насколько знаю им пользоваться не рекомендуют((( Но я просто уже не могла! Капнула по одной капельке, надеюсь не сильно отразиться.. Так плюс ко врему этому, какраз на этой неделе начался токсикоз. Нос заложен, горло болит, тошнит... полный атас!!!!!! Хоть на стену лезь. Сегодня весь день лечусь народными средствами, поскорей бы этот ужас закончился
Девочки, кто как справляется с такими проблемами?!
Приветики!
Присоединяюсь в ряды беременяшек и хочу поделиться первыми новостями!
У меня пока нет возможности попасть в ЖК, поэтому решила сходить на платное УЗИ, чтобы подтвердить Б. на 100 % и удостовериться что всё хорошо. А то целыми днями гадаю и накручиваю себя
. И вот сегодня пошла.
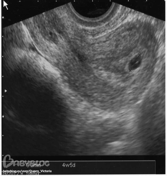
Срок поставили 5 недель 6 дней (акушерских). А плоду 4 недели 5 дней. Над кушеткой, на которой я лежала, прям надо мной был монитор. Так что я всё видела своими глазами :)
А вот и малыш 

Врач сказала, что всё хорошо. Вышла я оттуда счастливая и довольная!!!!! Листок с результатами я получила только на выходе и поэтому расспросить о их значении не удалось..(
Вот что я потом там увидела:
КТР 1,9 мм
ВДПЯ 9,3 мм
Жёлтое тело в правом яичнике
И ещё надпись - гиперэхогенный венчик.
Дома как всегда залезла в инет, чтобы проверить в норме ли это и расстроилась(((
Перерыла несколько сайтов про соответствие КТР и недели Б. Пишут, что на моём сроке КТР должен быть 3-5 мм. У меня же 1,9.... Я не понимаю. Это нормально??? Или может врач ошибся.. И что такое гиперэхогенный венчик?
Подскажите пожалуйста!!!!!!!!! А то я что-то распереживалась....