Отслойка, 7я неделя
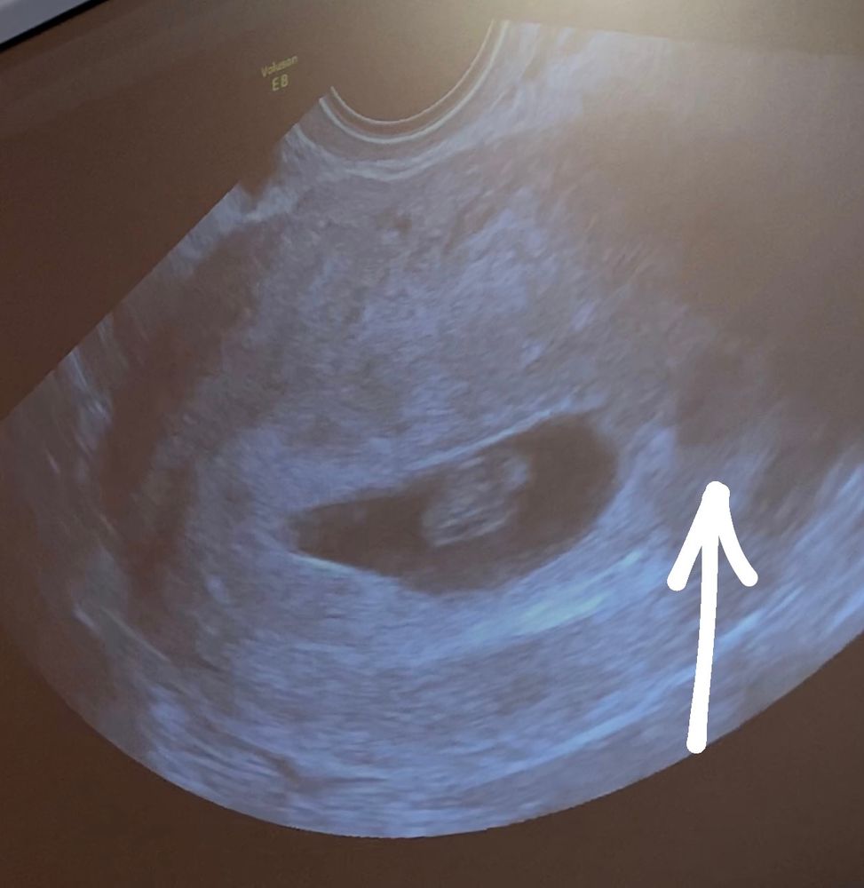
Была сегодня на узи. Все хорошо с моим малышом, ктр 10 мм, сердцебиение 142 уд. Однако, около породного яйца есть отслойка…Доктор сказала , что она не большая, не паниковать и начать пить дюфастон и ректально свечи папаверин. *скрин из моего видео узи*
девочки, у кого на раннем сроке была отслойка? Все ли хорошо было потом? Как лечились? И не странная ли форма плодного яйца…какая-то продолговатая…
Беременность первая…переживаю,конечно же, но держу себя в руках.
Елена
Была отслойка на 9 неделе, 10 дней пролежала в больнице, пила дюф и кровоостанавливающее, отслойка полностью прошла, но дюф пью до сих пор.
11.08.2021
Ответить
Наталья
Главное не нервничать, половой покой,тяжести не таскать и принимать гормоны как вам прописали. У меня была отслойка при стрессах и недостатке гормона.Благо я взяла себя в руки и принимала лютеину (прогестерон)и все потом было хорошо.
11.08.2021
Ответить
Аглая Бунина
Наталья, фух! Очень надеюсь и верю, что все будет хорошо. Спасибо Вам!
11.08.2021
Ответить
В ожидании чуда
Все хорошо у Вас с плодным яйцом, такое оно и есть. Поздравляю с 1 знакомством:)
Отслойки у многих бывают здесь, но все же лучше понять причину, это поможет избежать трудностей в будущем. Отслойки де еще и увеличиваться могут, могут кровить.... поэтому не пугайтесь если обнаружите выделения с разного рода кровяными оттенками.
11.08.2021
Ответить