Была на узи,нашли ПЯ
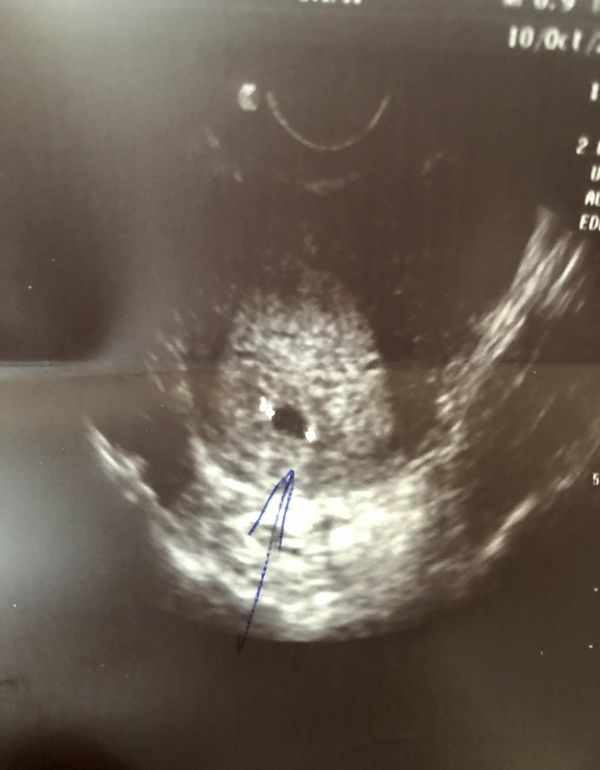
Девочки,Нас нашли🙏Всё соответсвует сроку 5,1 неделя.ПЯ 9мм.☺️ 
Но сказала,что есть в желтом теле киста,сказала что ничего страшного,но возможно нужна будет поддержка прогестерона,сказала пока не хочет лишний раз подключать гормоны,пригласила послушать через 10 дней сердце и по частоте сердцебиения можно будет определить,хватает ли выработки прогестерона или нужно будет назначать.Меня испугала фраза,которую обронила,что может в таких случаях(при нехватки прогестерона) быть замершая.Я теперь с ума сойду,пока эти 10 дней доживу,а вдруг нужно сейчас подключать,что мне сделать?Может сдать тогда в понедельник прогестерон?И посмотреть по крови хватает или нет?Или 10 дней можно подождать?Но вот ещё вопрос,у меня выделения простите желтоватого цвета,разве это не свидетельствует о выработке прогестерона в нужном количестве?Вообщем столкнулась впервые и не знаю как поступать,слушать гинеколога и не поддаваться панике...?