Мальчишка без яичек )))
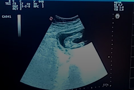
Всем привет ))) Ходила сегодня на 2 скрининг , срок 19.3 недель весим 360 гр.))) Собственно всё у нас хорошо)но... я опять в сомнениях, что у нас мальчик ! У нашего «мальчика» писюн торчит , а яичек нет , или ещё не вывались или девочка 🤦🏻♀️ Кому знакома такая ситуация? Видно было у ваших яйки на 19 -20 недели ? Фото правда ужасного качества , а ещё частная клиника ((( стрелочка указывает на то, что торчит))) 
Юлия *
Яички ещё не спустились в мошонку, вот и нет ничего кроме писюна. У девочек совсем пусто. И половые губки выглядят как две белые полосочки. У нас в 16 нед вот как было . Это скрин с видео, но все равно понятно, что там пусто))
13.05.2020
Ответить
Наиля
У меня так дочка оказалась , пуповину с писюном перепутали)) говорит мальчик у вас, я говорю смотрите лучше девочка будет)))😁😁😁🕵️
11.05.2020
Ответить
Алёна Ки.
Ну 15 лет назад часто такое было , сейчас аппараты лучше , ну в отличии от нашего сегодняшнего (((
11.05.2020
Ответить
Алёна Ки.
Не планировали , сюрприз был ))) была уверена раз так внезапно ворвался в нашу жизнь наверно дочка 😀
11.05.2020
Ответить
татьяна
По будянскому считали детей и свою сейчас беременость?у меня по его методу дети сходятся.посчитайте может и девочка
11.05.2020
Ответить
Алёна Ки.
Сложный какой-то метод 😄 но по расчёту старший сын должен был быть девочкой, сейчас тоже девочка , они были зачаты почти в одно время, с разницей в 16 лет , два других вроде совпало ))
12.05.2020
Ответить
татьяна
Там как поняли большие нюансы точно знатт надо зачатие и когда родились.а себя маму свою проверяли?у меня тоже с точностью да наоборот.мальчики четные а девочка дрлжна бытт нет.хотя я четная по таблице.а моя мама и сестра нечетные.там аж по поколениям.посмотрите помозгуйте.тяжело но факт есть😀
12.05.2020
Ответить
Алла
Да на фото были мошонка и писюн) просто действительно качество снимка ужасное, возможно и при просмотре врачу ничего нормально не видно было
11.05.2020
Ответить
Ирина
Мошонку видно саму, а яички опускаются из брюшины к 30 неделям у них, и то не у всех, у некоторых и позже
На таком сроке у девочки сразу б видели пирожок))) так что парень у вас)))
11.05.2020
Ответить