Аватар

Света - страница 2

30 лет Вологда, Россия
На сайте с 11.12.2014, последнее посещение — 2 дня назад
50 записей 11 друзей 35 подписчиков
На сайте с 11.12.2014, последнее посещение — 2 дня назад
Аватар Большая маленькая 10 лет 8 месяцев
Аватар Маленькая маленькая 7 лет 8 месяцев
Аватар Самый маленький 1 год 8 месяцев
Категория Поиск
Мой Виктор
Света Мой Виктор
Мама троих (10 лет, 7 лет, 1 год) Вологда
18+3 ощущения🤰🏻

Самочувствие вернулось к добеременному состоянию. Конечно, сил отнюдь не столько, хожу медленно, на дальние дистанции и вовсе не смогу. Хочется вести тюлений образ жизни😂👍🏻 Но в целом, если бы не частые пиночки, то забывала бы о беременности вовсе)

Начала набирать вес. Надеюсь не поскачет семимильными шагами.
В пн скрининго

Света Мой Виктор
Мама троих (10 лет, 7 лет, 1 год) Вологда
Первые шевеления

15+4
Не хотела писать, пока не станет очевидно. Теперь это очевидно не совпадение. Чувствую очень легкие тычки, пару раз за день, преимущественно после пробуждения и в районе 15-16 часов. Началось в субботу, 4 дня наблюдения. Не чувствую стоя, лёжа прямо, сидя. Чувствую сугубо лёжа на боку (чаще на правом, всегда в одном месте (там же, где д

Света Мой Виктор
Мама троих (10 лет, 7 лет, 1 год) Вологда
Ощущения, ровно 14 недель 🤰🏻

Официально во втором триместре!)
Токсикоз отступать не хочет, тошнит преимущественно слегка утром, и ужасно, с позывами, вечером.
Слабость, ломота, отсутствие желания что-либо делать🤷🏻‍♀️
Вес 75 кг, пока держится.
Стараюсь думать побольше о хорошем, появилось наконец желание смотреть детские вещи. Вчера заходила в Детский мир, дум

Света Мой Виктор
Мама троих (10 лет, 7 лет, 1 год) Вологда
13+4 УЗИ 🤍

По скринингу 13+4, по этому узи 13+5, всё соответствует сроку, всё отлично!)

Предположили мальчика🙈

Изображение

Света Мой Виктор
Мама троих (10 лет, 7 лет, 1 год) Вологда
12,5 (по скринингу) ощущения🤰🏻

Токсикоз не отпускает. Надоело) Постоянный комок в горле, отпускает на 20-30 минут после приема пищи.

Вчера вечером 🤮 . Это 6ой раз за весь токс.

Сейчас лежу, и словила себя на мысли. Почему-то показалось, что у меня сын. Пытаясь обмозговать это ощущение, оно ушло🤣

Обычно интуиция с посторонними людьми у меня обратная. Если я

Света Мой Виктор
Мама троих (10 лет, 7 лет, 1 год) Вологда
УЗИ 1 скрининг

Была на бесплатном УЗИ, малыша показали, фото не сделали. Почему? Потому что упертая булка не захотела повернуться в профиль. Но всё замерять удалось. Вроде всё в пределах нормы. Завтра иду сдавать кровь на скрининг.

Скорее всего пойду на УЗИ чтобы сделать фото малыша. А то как-то неправильно это.

Света Мой Виктор
Мама троих (10 лет, 7 лет, 1 год) Вологда
Ощущения 🤰🏻

11 ровно


Сегодня была у врача. Первое впечатление - врач прелесть☺️

Приём, конечно, очень быстрый. Назначили скрининг на 4е (УЗИ) и на 5е (кровь).

Впервые иду на бесплатный скрининг🤪

Последнее время постоянные переживания по поводу замершей. Сегодня на кресле врач прощупала и сказала, что матка как раз на 11 нед

Света Мой Виктор
Мама троих (10 лет, 7 лет, 1 год) Вологда
Ощущения 🤰🏻

8+5

Заболела. Всё-таки скосило и меня. Сначала младшая, потом муж, затем старшая. Полон нос соплей, горло дерет и аппетита нет.

Аппетита нет - просыпается токсикоз. Вчера было тяжело. Так тяжело, как обычно бывает в первые дни болезни. Болело всё лицо, чесалось, зудело. Чихнула по меньшей мере 50 раз. Чихаю - содрогается живот, тут

Света Мой Виктор
Мама троих (10 лет, 7 лет, 1 год) Вологда
Ощущения 🤰🏻

Вчерашним поздним вечером вырвало. Терпела весь день. Было 7+4 по узи. А сегодня утром вырвало младшую дочь. Совпадение? Начинается токсикоз?

Чувствую себя отвратительно…

Света Мой Виктор
Мама троих (10 лет, 7 лет, 1 год) Вологда
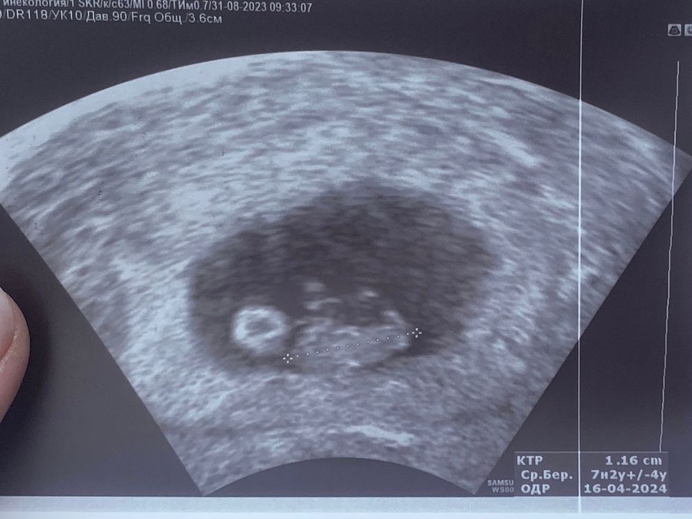
7+2 по УЗИ

Сегодня должно было быть 7 недель ровно по овуляции (+2). По итогу на узи 7 недель и 2 дня)

Видно нашу булочку, сердцебиение 138, ктр 11,6 мм ☺️

Изображение