Второе Узи и пункция ...
Привет девочки, вот и заканчивается мой протокол, вроде бы еще не успев начаться.. 
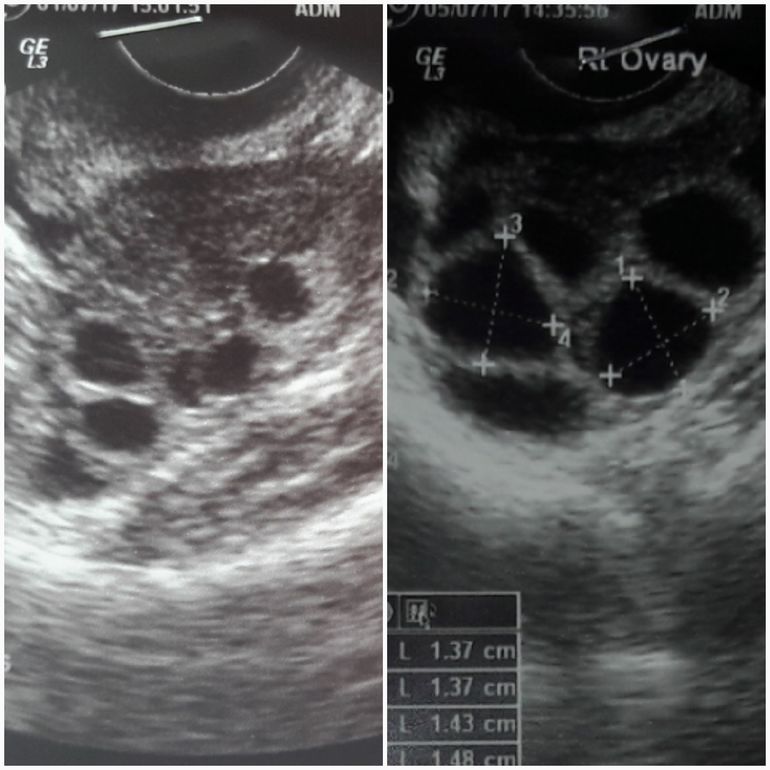
Была на я втором УЗИ у своего Ре, фолликулы растут, но только в правом яичнике, эндометрий хороший...Так как фолликулов не много, решили делать ЭКО с ИКСИ.
Контрольное УЗИ в субботу, а на понедельник 10.07 назначили пункцию...страшновато что то...
Из лекарств подредактировали дозировку... Мерионал75+Альтерпур75 и добавили Оргалутран 0,25...
Жду с нетерпением.... 
Лёлька
У меня с вами все в один день))) сегодня тоже 2е узи,в понедельник пункция😉
07.07.2017
Ответить
Иська
Ну значит будем держаться вместе!😂👍😉Вчера читала ваш пост про интим перед пункций!Очень пригодилось
07.07.2017
Ответить
Таисия
Как это заканчивается? Сейчас начинается самое волнительное и интересное!)))
Пункция не страшна совсем, а вот когда будет подсадка (Дай Бог!!!), вот это волнительно не то слово!!! ))) Так что хвост пистолетом и ничего не бойся!!!
06.07.2017
Ответить
Иська
Спасибо большое
Просто протокол стимуляции заканчивается...вот я к чему😊😊😊
А дальше больше..спасибо за напутствие...держу пистолетом...
спасибо мужу..очень поддерживает!
Просто протокол стимуляции заканчивается...вот я к чему😊😊😊
А дальше больше..спасибо за напутствие...держу пистолетом...
спасибо мужу..очень поддерживает!
06.07.2017
Ответить
Я ваще влюбилась в этот сайт,на любой вопрос дадут мгновенно ответ!))