
Нам 27 неделек и 3 дня)

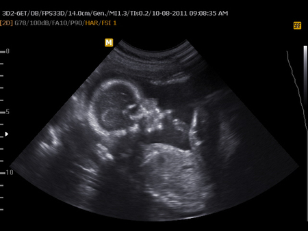
Ну вот, как писала в предыдущем сообщении - была сегодня в ЖК. Вчерашние анализы хорошие. Сделали УЗИ: предлежание - главное, положение плода - продольное, движения плода - активные, сердцебиение - ритмичное, ЧСС - 140 уд. / мин, рост плода - 34см, вес плода - 1028г, БПР - 70мм, ОЖ-74мм, ДГрК-64мм , ДлБ - 51мм, количество околоплодных вод - нормальная (50мм), локализация плаценты - передняя, степень зрелости плаценты - 1, толщина плаценты - 27мм, пуповина: количество сосудов - 3, патологические отклонения, пороки развития плода - не обнаружено. Заключение УЗИ: По биометрии беременность 27-28 недель.
И конечно еще раз подтвердили, что будет пацанчик))) И все было прекрасно, пока врач не стал делать допплерометрии кровотока в артерии пуповины .. Минут 7 напряженно смотрел на экран, спросил как я себя чувствую ... Потом написал заключение и сказал немедленно идти к своей Г.. И тут мое сердце бешено забилось ... На пути к ее кабинету раз 5 перечитывала то заключения и ничего не поняла, а писало там вот что: СДО - 4,5 (норма - 3,7), ИР - 0,7 (в норме ), ПИ - 1,3 (норма - 1,09). Вывод: замедленный кровоток.
В Г я конечно спросила что все это означает, объяснила что такие показатели бывают в последний месяц беременности, но отнюдь не сейчас .. Сказала немедленно ложиться в больницу. Я очень очень очень расстроилась, но здоровье моей кровушки для меня важнее всего. Поэтому я покорно взяла направление и завтра с вещами в перинатальный центр. Надеюсь не надолго, и скоро с новой увидимся здесь здоровые и большие)) Всем цем, берегите себя и карапузиков.
П.С. Для того чтобы немного снять напряжение решили походить по детским магазинам, купили коляску - трансформер VIKI PLUS, серо-голубую. Вот такая модель только цвет другой. 
Я жду. Я так хочу, чтоб он
Во всем на папу был похожим!
А тот доволен был, как слон ,
И улыбался всем прохожим...
Я жду. Хоть помню дни, когда
Мне было страшно, больно, плохо.
Но верю - Светлая Звезда
Ему дана. Ведь всё от Бога...
Я жду. Вот булькнуло внутри .
Да, Он расчувствовался тоже...
«С тобой я мама, посмотри!
Готовься, мамочка, мы сможем!»

Я мамин Пузожитель,
Я в пузике живу!
Я мамочкой питаюсь,
Я мамочкой дышу.
Я с мамочкой гуляю,
И с нею же смеюсь.
И папочку встречая -
Ужасно веселюсь!!!
Расту я быстро очень.
Кручусь себе, верчусь...
И бодрствую ночью,
А днем я спать хочу.
От всяких химикатов
Меня слегка тошнит,
Поэтому мы с мамой
Откажемся от них.
Мы с мамой очень дружно
В любви, в тепле живем...
Я - мамин Пузожитель!
А мамочка - мой Дом!
))) 





Сегодня очень трудно спалось .. постоянно то жарко было, то пить хотелось и т.д. Но над утром сон был как никогда крепкий и сладкий и приснилось .... ох ... какой это был сон ... короткий ... нежный ... радостный ..
Мне приснилось что я уже в родильном и родила девочку,
почему именно девочку не знаю)) Просто так во сне мне было понятно что у нас девочка ..) Все происходило чрезвычайно легко и приятно ... Улыбка до сих пор не сходит с моего лица .....
Может кто знает что означает такой сон, я нашла только такое объяснение Беременным женщинам или мужчинам, имеющим беременную жену, такой сон предвещает рождение сына.
Папа сам услышал вдруг,
Тук - тук - тук - тук - тук- тук,
Самый лучший в мире звук
Тук - тук - тук - тук - тук- тук.
Это первые слова,
Что малышка издала.
Всполошились все вокруг,
Все хотят услышать стук.
Ах, ты хитрый наш малыш,
Только с папой говоришь?
