Папин малыш ))))
06.12.2011г. ходили на УЗИ.... Наше Солнышко копия папка... толстые щечки, пухлые губки, носик, пузатенький, и с большим размером ноги )))) одна надежда, сто хоть глазки будут мои (зеленые и не узкие, как у папки)....
о хорошем... весит наш Святослав 2 кг. ровна. 41 см. головное предлежание, срок по УЗИ 32 нед., кроме головы, живота и размера ступни - они на 33 нед. сказали, что ходить начнет быстро, т.к. большой мозжечек.... но мы на счет этого и не сомневались )))) что я. что муж все начали рано, и ходить, и говорить )))все развивается хорошо, все органы и кровоток в норме....легкие - 1 степени зрелости.... активничаем....
плацента 1 степени зрелости, задняя стенка, дно матки; выше внутреннего зева на 11 см., толщина 2,7, шейка матки 4,6 см, все закрыто.
прибавка за 2 нед. всего 200 гр. и того за беременность 9,8 кг.
о не оч. хорошем.... ПДР опять сдвинулся на 2 дня, теперь 31.01.2011г., все дальше мы отдаляемся от козерога....
и еще у нас однократное плотное обвитие шеи пуповиной... (((((((( - это РАССТРАИВАЕТ....
по анализам нашли
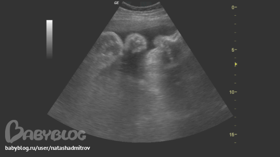
а вот И НАШЕ СОЛНЫШКО: 
сосем ручку,

кулачки,

и наши щечки )))))
наш папка доволен.... сынок будет похож на него, хороший мальчик 