Мама мальчика (8 лет), жду мальчика, 8 неделя
Санкт-Петербург
Шестая неделя
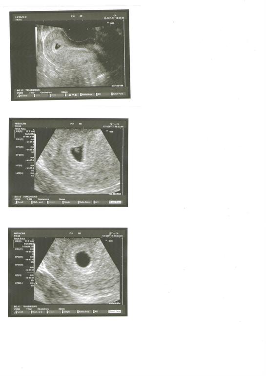
Вчера была у врача. В полости матки определяется плодное яйцо диаметром 11,2 мм. Эмбрион визуализируется. Желточный мешочек 2,9 мм. Сказали, что эмбрион прячется, поэтому серцебиение еще не услышали, маленький срок, сказали приходить через 10 дней. Поставили срок 5н1д
Мама двоих (6 лет, 3 года)
Магнитогорск
Поздравляю вас!!! 🌹 В понедельник тоже была на УЗИ, поставили по нему 5 недель 6 дней, сердечко увидели, 100 ударов в минуту, я обрадовалась очень
0
13.09.2017
Ответить
Мама двоих (16 лет, 8 лет)
Санкт-Петербург
Лия, очень здорово услышать сердечко. Думаю, что и мы на следующей неделе услышим. Вчера врач сказала, что "я даже искать сейчас не буду, он прячется и маленький ещё совсем", у меня была поздняя овуляция, так что от зачатия вообще только 3н2д прошло. Но по размерам все в норме.
0
13.09.2017
Ответить
Мама двоих (6 лет, 3 года)
Магнитогорск
Это хорошо)) обязательно услышите))
А у меня по месячным срок беременности был 6.3 недели, по УЗИ 5.6 это получается овуляция у меня была тоже чуть позже, чем по расчетам от месячных, я так понимаю? Если честно, я в этом разбираюсь мало, у меня первая беременность и все дела 😊
0
13.09.2017
Ответить
Мама двоих (16 лет, 8 лет)
Санкт-Петербург
Может быть, не знаю. Я овуляцию всегда чувствую, поэтому с уверенностью говорю, в какой день она была. У меня по месячным срок беременности 5н4д. Вы можете поделиться снимками узи, интересно сравнить? ))
0
13.09.2017
Ответить
Мама двоих (6 лет, 3 года)
Магнитогорск
У меня к сожалению нет снимков УЗИ 😔
И у меня если честно весьма все печально, угроза прерывания беременности, отслойка. Пью лекарства что мне прописали, соблюдаю постельный режим и надеюсь, что весной обязательно стану мамой
0
13.09.2017
Ответить
Мама двоих (16 лет, 8 лет)
Санкт-Петербург
Лия, все будет хорошо! Главное сейчас - это беречь свое здоровье, от него многое зависит в развитии малыша. А мамой вы обязательно станете!!!
Это вам в понедельник на узи сказали, что есть угроза? Какие лекарства вам прописали?
0
13.09.2017
Ответить
Мама двоих (6 лет, 3 года)
Магнитогорск
Да в понедельник, у меня в воскресенье начались коричневые выделения, на следующий день поскакала к врачу, он меня послал на УЗИ, там и выявили угрозу. Гинеколог прописала мне Дюфастон и Магне В6, 2 октября мне идти к ней на прием, там как понимаю снова на УЗИ пошлют, и посмотрят как обстоят дела
0
13.09.2017
Ответить
Мама двоих (16 лет, 8 лет)
Санкт-Петербург
Магне В6 я тоже принимаю, мне его 05 сентября прописали, плюс принимаю фолиевую кислоту, а вчера еще прописали йодомарин и витамин Е. А какие у тебя признаки беременности, я имею в виду есть токсикоз, болит ли грудь, живот и пр.?
0
13.09.2017
Ответить
Мама двоих (6 лет, 3 года)
Магнитогорск
Тошноты нет вообще. Грудь да стала чувствительнее, но размер без изменений. Незадолго до задержки у меня была ужасная усталость, я когда вставала утром с постели, была уже уставшая, измученная, хотя ночь спала нормально. Днём постоянно хотела спать. Сейчас все это прошло. Особо изменений в себе не чувствую как таковых. Единственное изменился эмоциональный фон, взяла за манеру реветь чуть что. Я тоже пью фолиевую кислоту, ещё мне дали в ЖК калия йодит.
0
13.09.2017
Ответить
Мама двоих (16 лет, 8 лет)
Санкт-Петербург
У меня токсикоза тоже нет, но грудь стала больше, налилась и побаливает. Хочется спать, но приходится работать, могу сразу после работы на пару часов крепко заснуть, стала по ночам в туалет ходить, и днем часто бегаю) Вчера с утра и пока на узи не сходила (в 19 часов) было какое-то тревожное состояние без особого повода.
0
13.09.2017
Ответить
Мама двоих (6 лет, 3 года)
Магнитогорск
В туалет да. Даже когда не очень хочется, но мочевой все равно настойчиво требует.
0
13.09.2017
Ответить
Мама двоих (6 лет, 3 года)
Магнитогорск
И да, чувствую изменения в матке. Иногда легонько покалывает. Трудно точно объяснить ощущения.
0
13.09.2017
Ответить
Париж
В первом триместре эмбрион растёт с разной скоростью, поэтому срок в неделях от зачатия может меняться в первые месяцы. К концу первого триместра скорость роста стабилизируется и на первом плановом УЗИ срок в неделях от зачатия уже определяют с большей точностью. До этого УЗИ обычно используют срок в неделях от первого дня последний месячных.
0
14.09.2017
Ответить
Париж
Поздравляю Вас :)
Не стоит так рано на УЗИ бегать. Я подождала до 9 недели и не жалею - всё сразу увидели и сердечко услышали :) И то, у меня был плановый визит к гинекологу, который сделал мне УЗИ (я не просила). А я бы вообще предпочла подождать первогод планового УЗИ - оно у меня в конце 13-й недели.
0
14.09.2017
Ответить
Мама двоих (16 лет, 8 лет)
Санкт-Петербург
Я и не бегаю, у меня были плановые визиты к гинекологу, сначала взяли мазки на флору, потом в этот вторник взяли контрольные, сегодня врач позвонила, сказала, что мазки хорошие) УЗИ-аппараты у них стоят прям в кабинете и осмотр входит в консультацию. Поэтому, почему бы и нет, увидеть, что всё развивается как надо, что ПЯ есть, что желточный мешочек тоже, что эмбриончик тоже появился - это счастье)) В первую беременность было также. У меня ДМС и чтобы оформить "ведение беременности" надо было сказать работодателю, что беременность подтвержденная, что вот он эмбриончик))
0
14.09.2017
Ответить
Париж
УЗИ вагинальным методом не рекомендуется. Мазок - тем более. На ранних сроках лучше избегать любого вмешательства, это всё может спровоцировать выкидыш. Это слова гинекологов, которые я посещала. Теперь можете спокойно ждать первого планового УЗИ. Приходить через 10 дней, если ничего не беспокоит, нет никакого смысла - только увеличите риск выкидыша.
0
14.09.2017
Ответить
Мама двоих (16 лет, 8 лет)
Санкт-Петербург
Я думаю, что всё индивидуально и зависит от организма / здоровья женщины! Конечно, общие принципы есть, но я доверяю себе и своему лечащему врачу) Нужно всегда настраиваться на позитивную волну и не думать о плохом. Я полностью доверила себя своему лечащему врачу и в 25 лет родила прекрасного сына. Сейчас ему уже 8 лет))
0
14.09.2017
Ответить
Париж
Ну, врачи, особенно, в России только рады таким пациенткам, которые к ним часто бегают ;)
Если Вы настроены на позитивную волну, то тогда точно не понимаю, зачем так часто делать УЗИ?
0
15.09.2017
Ответить
Мама двоих (16 лет, 8 лет)
Санкт-Петербург
Я же Вам ответила, что УЗИ не прошу делать)) если врач посчитал необходимым, значит так надо было )) Каждая беременность уникальна) у нас вообще всё интересно происходит, и сыну преподнесли, как аист принес, т.е. завязывали ленточку всей семьей под гнездом и, бац, действительно зачали))
0
15.09.2017
Ответить
Поздравляю вас, Елена! А меня тоже абсолютно такой же срок. :) Будем ждать вместе
0
14.09.2017
Ответить
Мама двоих (16 лет, 8 лет)
Санкт-Петербург
Юлия, как здорово)) Я вас тоже поздравляю! Как у вас всё проходит, что чувствуете, беспокоит ли что-нибудь?
0
14.09.2017
Ответить
Спасибо! Да, с диареей мучалась тут неделю. Токсикоз пока только по утрам проявляется, легким подташниванием.:) На следующей неделе в первый раз к врачу пойдём. Специально подождала, чтобы сразу сердечко услышать
0
16.09.2017
Ответить
Мама двоих (16 лет, 8 лет)
Санкт-Петербург
Юлия, да, волнительный это период, ожидание ))
0
17.09.2017
Ответить
Мама двоих (11 лет, 8 лет)
Санкт-Петербург
Какие вы молодцы , растете , скоро и сердечко будет слышно! А мы пока не были на Узи , нам сказали на 11 неделе только сделают первое.
0
18.09.2017
Ответить
Мама двоих (16 лет, 8 лет)
Санкт-Петербург
В предыдущую беременность на 11 неделе нам сказали, что у нас точно мальчик, до сих пор помню слова врача "мальчик, ещё какой мальчик, вот, смотрите" ))
0
19.09.2017
Ответить
Мама двоих (11 лет, 8 лет)
Санкт-Петербург
Лена , а узи платное делала или тебя в жк направили?
0
18.09.2017
Ответить
Мама двоих (16 лет, 8 лет)
Санкт-Петербург
Аня, нет, у меня ДМС и для сотрудниц, отработавших более трёх лет, включено "ведение беременности" и "родовспоможение". Я ничего не плачу. Сейчас наблюдаюсь в клинике "Скандинавия", на следующей неделе перейду в ЖК 9 роддома и там буду наблюдаться до рождения малыша.
0
19.09.2017
Ответить