Пришло и наше время!)
Девочки, сегодня официально на узи нам поставили срок 3-4 недельки от зачатия! Ну что сказать - я расплакалась прямо на кушетке во время осмотра) узист еще спрашивает . желанна ли беременность? я прям хотела спросить - а что, разве не заметно?)как соберу свои мысли в кучку напишу свои историю зачатия, пока еще эйфория не отпускает)) В общем в общей сложности 2 года и 2 месяца минус пол года после ВБ.
Хочу пожелать всем планюшкам только веры, все будет, и да, действительно, как только я перестала искать признаки, в том же цикле и заБ!)Хотя ненавидела всех кто мне советовал отпустить ситуацию. Мы счастливыыы!!!!! Всем скорейшего запузачивания!!!!
Всех люблю!!!
Ксения(я мама в 2018 году)
Спасибо за тёплые слова и за сих,а вам лёгкой Б!)))))
16.03.2015
Ответить
мама конфетки и клубнички)
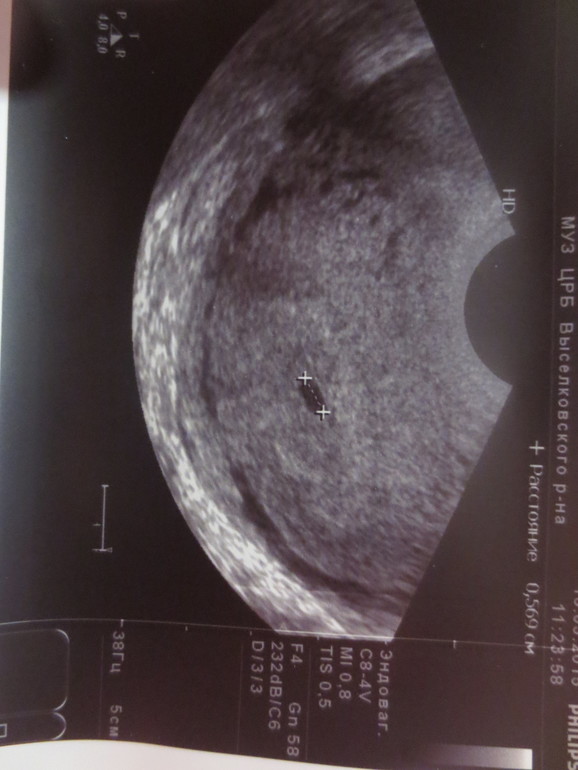
это сегодня, 6 ДЗ, в кресле нас не увидели, я позвонила узисту, он сказала. уже можно приходить, эндавагинальное узи с первой секунды осмотра определило Б
16.03.2015
Ответить
Лёлик
Поздравляю!!! Искренне желаю вам легкой беременности!!!
Ну, и традиция... почихайте пожалуйста на меня посильнее)))) 
Ну, и традиция... почихайте пожалуйста на меня посильнее)))) 
16.03.2015
Ответить
мама конфетки и клубнички)
спасибо огромное! До сих пор боюсь дышать)) ну ловите, по традиции самыыый заразнючий чииииих, я как раз стала чихать пару дней)) так что, уж будьте добры, не пропустите))
16.03.2015
Ответить
мама конфетки и клубнички)
несомненно! спасибо, я аж подпрыгнула на месте, когда врач сказал, ПЯ в матке, 3-4 недели) какие же волнительные чувства!
16.03.2015
Ответить
это наше первое фото)такое долгожданное!