Мама девочки (2 года), жду мальчика, 12 неделя
Москва
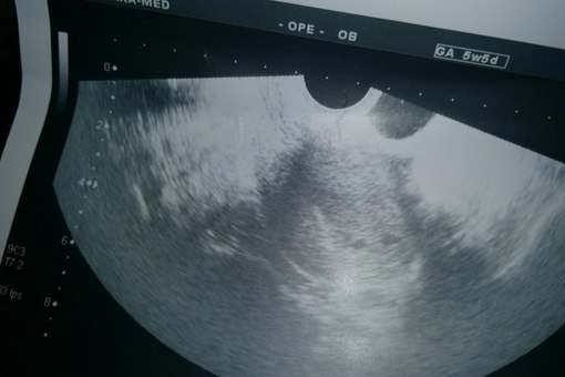
Завтра на УЗИ!
Девочки, всем привет! Кто меня помнит-недавно рассматривали с вами снимки с моего узи, гадали, сколько ж там малышей. Эта неделя показалась просто вечностью... Ночью очень плохо сплю, всякие мысли в голове. Главное, чтоб все было хорошо, чтоб всё развивалось. А сколько-как Бог даст... А вообще, мне не верится, что может быть двое- не было у нас в роду ни двойни, ни тройни. В общем, завтра тайна раскроется...
Просто мысли, сумбур в голове..) а под катом еще раз фото.для тех, кто не видел)))
спасибо, что дочитали)))

Мама девочки (8 лет)
Саратов
Все будет хорошо.Удачи Вам.мне видется 2 пятнышко
0
04.03.2016
Ответить
Мама девочки (8 лет)
Набережные Челны
Удачи вам!! Сильно не переживайте, это плохо сказывается на малышах, матка в тонусе может быть. Успокойтесь!!! Мне чувствуется, что у вас двойня, два маленьких счастья!!! Ждем с нетерпением ваш завтрашний пост!!!
0
04.03.2016
Ответить
Мама девочки (14 лет)
Санкт-Петербург
Прочитала Вашу историю- так интересно стало!!!! Действительно, сколько же там??добавила Вас в закладки, чтобы завтра не забыть заглянуть к Вам))))) держу кулачки!!!ТТТ!!!)))
0
04.03.2016
Ответить
Мама двоих (12 лет, 9 лет)
Москва
Спасибо большое! 😘🌷🌷🌷🌷🌷 мне почему-то кажется, что один. Ну не могу я поверить, что сразу двое у меня там может быть))) ладно, как суждено, так и будет))) осталось дождаться завтрашнего дня и все станет на свои места. Главное, чтоб все было хорошо)))
0
04.03.2016
Ответить
Мама девочки (9 лет)
Липецк
Удачи Вам! Главное не волнуйтесь, все хорошо будет!
Ждем завтра результат.
Ждем завтра результат.
0
04.03.2016
Ответить
Мама четырех (от 10 лет до 22 года)
Москва
Удачи Вам!!! Не переживайте! Всё будет хорошо)))! А вообще , было бы круто двое малышей! Я всегда хотела близнецов, но не вышло)))
0
04.03.2016
Ответить
Мама двоих (12 лет, 9 лет)
Москва
спасибо большое!
завтра уже все прояснится... чуть-чуть осталось подождать)))
завтра уже все прояснится... чуть-чуть осталось подождать)))
0
04.03.2016
Ответить
Мама троих (14 лет, 9 лет, 6 лет)
Железнодорожный
По форме, плодных два. Зажали кулачки и ждем новости.
0
04.03.2016
Ответить
Мама мальчика (9 лет)
Москва
На верхнем двое,на нижнем трое!))) удачки на завтра!))
0
04.03.2016
Ответить
Мама двоих (12 лет, 9 лет)
Липецк
А узист не понял что ли сколько там малышей?
0
04.03.2016
Ответить
Мама двоих (12 лет, 9 лет)
Москва
она сказала, что, либо двойня, либо угроза... поэтому я уже на нервах всю неделю... дождаться бы завтра!)))
0
04.03.2016
Ответить
Мама двоих (10 лет, 3 года)
Иркутск
Вижу 3 кружочка :) Удачи Вам!Ждем новостей
0
04.03.2016
Ответить