Мама мальчика (3 года), жду мальчика, 9 неделя
Саратов
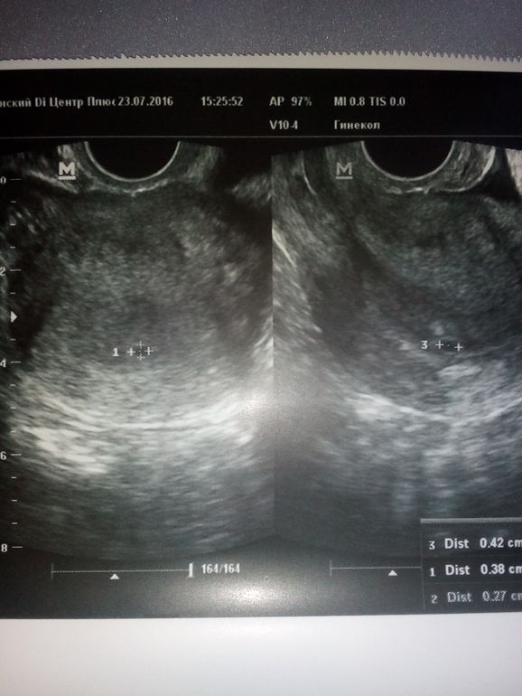
Нас нашли😻😻😻❤❤❤
Побывала на узи!!! Все хорошо,нас нашли ,слава Богу там,где и положено!!! Пя 3 ,5мм- срок 3 недельки))) 
огорчил один момент- есть киста жёлтого тела((( узистка сказала нужно поддержку- либо дюфастон,либо утрожестан!!! Что скажете ,дорогие ббшки??? Кто сталкивался? Упокойте,,,это же не страшно- страшно?))
Мама троих (13 лет, 27 лет, 10 лет)
Грязовец
Ура,ура🚼🚼🚼карапузики в пузике)утрик пила я
0
23.07.2016
Ответить
Мама двоих (13 лет, 9 лет)
Саратов
Ага,мои зайки🌹🌹🌹❤❤❤ Утрик в таблетках? А то она что то про свечи говорила
0
23.07.2016
Ответить
Мама троих (13 лет, 27 лет, 10 лет)
Грязовец
Ну таблы вагинальные можно их и пить)ставить на ночь да удобно)я одну выпила у меня голова закружилась )так было только после двух таблов дальше норм))
0
23.07.2016
Ответить
Мама двоих (13 лет, 9 лет)
Саратов
Всмысле ) их и туда можно,а хочешь можно и пить?
0
23.07.2016
Ответить
Мама троих (18 лет, 15 лет, 9 лет)
Миасс
у меня вообще 2 кисты желтого тела (как так??). одна 30, другая 38 мм
0
23.07.2016
Ответить
Мама двоих (13 лет, 9 лет)
Саратов
Интересно)) а вам ,рекомендовали что либо для поддержки?
0
23.07.2016
Ответить
Мама двоих (13 лет, 9 лет)
Севастополь
у меня с 1 й беременностью была киста ЖТ ничего не пила,все само рассосалось к 11 неделе.мне и не назначали никакой поддержки.
легкой беременности ,не волнуйтесь!берегите себя и бусинку
0
23.07.2016
Ответить
Мама двоих (13 лет, 9 лет)
Саратов
Спасибо большое!!;будем очень стараться 🌹🌹🌹🙏🙏🙏
0
23.07.2016
Ответить
Мама двоих (13 лет, 10 лет)
Подольск
Светочка, какое счастье! Это прекрасно, что ты станешь мамочкой во второй раз)
Береги себя и малыша!
0
23.07.2016
Ответить
Мама двоих (13 лет, 10 лет)
Москва
у меня такая была. Утрожестан вставляла, сказали лучше вставлять, чем пить. Уж не знаю почему))
0
23.07.2016
Ответить
Мама пятерых (от 8 лет до 27 лет)
Ташкент
Поздравляю,легкой беременности и здорового малыша! Киста желтого тела не страшна. Прогик так же вырабатывается. Погуглите.
0
23.07.2016
Ответить
Мама троих (22 года, 14 лет, 9 лет)
Малюсечка маленькая =)) легкой беременности
0
23.07.2016
Ответить
Мама двоих (12 лет, 9 лет)
Саратов
Ну вот Свет, я же говорила что все будет хорошо) Поздравляем! Береги себя и ребеночка!
0
24.07.2016
Ответить
Мама мальчика (9 лет)
Волгоград
Какая прелесть )) и правда бусинка ))) 3 недели от зачатия значит и 5 акушерских ?
0
23.07.2016
Ответить
Мама двоих (16 лет, 9 лет)
Пермь
Йуууу-хуууу!!! Лёгкой беременности, растите!!!!
0
23.07.2016
Ответить
Мама троих (17 лет, 21 год, 9 лет)
Семей (Семипалатинск)
Легкой Вам беременности. Пусть все будет хорошо!!!
0
23.07.2016
Ответить
Мама двоих (13 лет, 9 лет)
Саратов
я оба раза пила дюфастон до 18 нед. Все гуд
0
25.07.2016
Ответить
Мама двоих (21 год, 13 лет)
Москва
Береги то что нашли Светик 💋 Очень рада! Мечты сбываются)
0
25.07.2016
Ответить
Мама троих (20 лет, 9 лет, 7 лет)
Билефельд
Как хорошо)) берегите себЯ и крошку!
0
23.07.2016
Ответить
Мама двоих (13 лет, 9 лет)
Саратов
Здорово как! Еще раз поздравляю!!!
0
23.07.2016
Ответить
Мама двоих (13 лет, 9 лет)
Саратов
Это точно! Самое большое счастье!!! 🌹🌹🌹🙏🙏🙏
0
23.07.2016
Ответить
Мама мальчика (24 года), планирую беременность
Минск
Лёгких вам и беременности и родов!!)))
0
23.07.2016
Ответить