киста желтого тела..беременности не будет?..
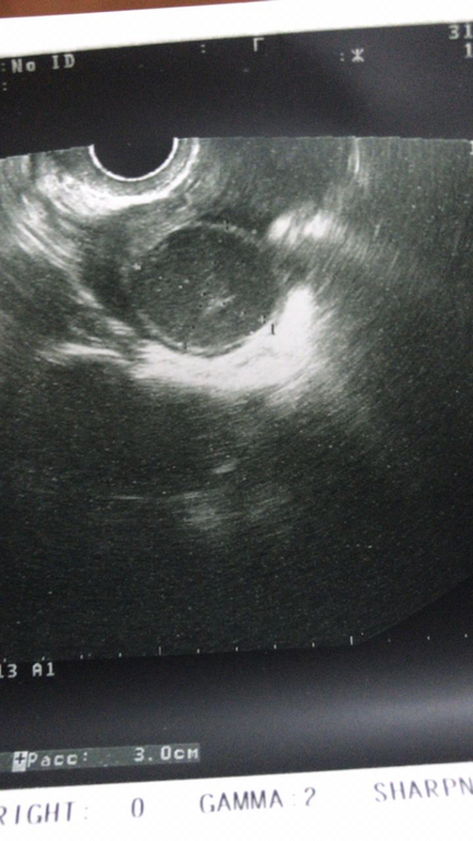
ФолликулометрияВсем привет!Девочки,совсем запуталась..скажите кто разбирается...
цикл длинный 35-38 дней,ходила на узи чтобы отследить О..
16ДЦ ДФ(справа)- 21мм
20ДЦ ДФ(справа)-24,5мм
25ДЦ-ДФ нет-образование 47*40*52мм
в заключении написали киста правого яичника((
Скажите,это значит О не было??
и может ли вообще с кистой наступить Б..в этом цикле??и в след.циклах??
и что скажите насчет эндометрия??
фото двух последних узи прилагаю,скажите кто что знает..а то у же голова идет кругом...

Лучший ответ
malishka
Я не хочу вас зря обнадеживать, но...мне на 26 дц поставили функциональную кисту ( не жт) и эндометрий 7-8 мм, а через 2 дня ьесты заполосатились. Вот завтра буду пересдавать хгч, но тесты ярчают☺ вот сой пост
https://m.babyblog.ru/community/post/conception/3431871
И тесты , нижний сегодня:
Желаю вам, чтобы все получилось🤗🤗🤗
Желаю вам, чтобы все получилось🤗🤗🤗
26.02.2019
Ответить
Kartinka
так и написали в заключении узи,что киста функциональная??
мне просто написали киста..тут девочки пишут,что по снимку узи это функциональная киста((
да,прочла ваш пост и вижу тестик!!очень даже заметная полосочка!!я вас поздравляю,это такое счастье
26.02.2019
Ответить
Наталия
Думаю у вас фолликулярная киста, не жт. У меня в прошлом цикле была киста жт. Вот как выглядит, с М ушла. Я кучу инфы прочитала, и вроде как пока киста не уйдёт, овуляции не будет
25.02.2019
Ответить
Kartinka
смотрю вот,и они для меня одинаковые)шарик и шарик))
да,если функциональная значит яичник не соовулировал((
26.02.2019
Ответить
Нита
А почему вы пишете киста жт? У Вас в заключении написано киста яичника🤷♀️ эндометрий у Вас уменьшился-так бывает перед месячными. Вряд ли стоит ждать беременность в этом цикле
25.02.2019
Ответить
Kartinka
описка,спасибо что заметили...
да(все факты на лицо(хотя график с БТ красивый..
25.02.2019
Ответить
Кристина
У меня в беременом цикле, с начало тоже только кисту жёлтого тела на узи видели, потом пя увидели)
25.02.2019
Ответить
Кристина
Ну ведь дф был, когда дф не лопался у меня писали киста фоликулярная дф был 32. А у вас не так написано, у вас дф уже нет. А есть образование округлой форме. Беременость может быть ждите задержку)
25.02.2019
Ответить
Kartinka
ну да,на последнем узи указано,что ДФ нет..но может она имела ввиду,что теперь это киста..я еще уточнила про О и возможна ли Б,она категорично сказала "Нет,т.к. не было О"...(((
25.02.2019
Ответить
Анастасия
Да, овуляция была, при кисте ЖТ Б возможна. Эндометрий немножко толстоват, но, тут лучше у Г спросить.
25.02.2019
Ответить
Анастасия
Нет 10.3 не много, просто посмотрела, что до этого было 15.5, а это не мало. Поняла, что была Р, потому-что без О кисты ЖТ не бывает) Киста ЖТ, так же, как и обычное ЖТ образуется после О.
25.02.2019
Ответить
Kartinka
спасибо за ответ!!я спросила у врача,что делала УЗИ так была О или нет??она мне сказала нет...как так??!
25.02.2019
Ответить
Юлия S
Потому что она пишет киста яичника, а не киста ЖТ, а это не одно и то же. Это вроде как она говорит, что фолик не лопнул, а перешёл в кисту, но я бы переделала узи...
25.02.2019
Ответить
Юлия S
Если есть где переделать, почему нет... но вообще она пишет, что сам яичник увеличился на 2 см + к этому ещё образование 5 см. Такое конечно сложно придумать
Буквально вчера читала про кисты https://www.babyblog.ru/community/post/conception/1390819 Почитайте про фолликулярную и к гинекологу на приём
25.02.2019
Ответить
Юлия S
А, ну да. Я там из того, что она написала, понимаю только "округлое образование". Но в общем, киста ЖТ на узи не так выглядит - у неё края неровные и сама она мутная как будто. А когда ровная и темная - это фоллик.киста
25.02.2019
Ответить