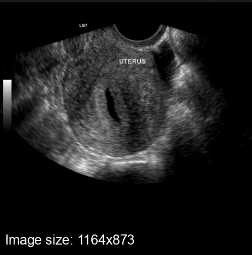
На УЗИ жидкость в матке! Положительный тест!
Всем здравствуйте ,задержка менструации уже 10 дней,тесты положительные,признаки беременности..вчера была ну УЗИ,врач не увидела плодного яйца в матке,но есть жидкость внутри матки,сказала что возможно зачатие только произошло.Но в интернете начиталась о том что так себя может проявить внематочная беременность(((девочки у кого было так ??рекомендовали сходить на УЗИ через 5 дней,что через это время должно быть все видно...Может кто то был в такой ситуации??очень извела себя,незнаю что уже думать,я в отчаянии..
Мама мальчика (3 года)
Тула
Ольга, а хгч не сдавали? Пя видно при хгч от 2000. Нужно еще сделать узи через пару дней.
При вб эндометрий чаще тонкий. У вас пока непонятно.
0
05.04.2025
Ответить
планирую беременность
Новоорск
Евгения, ну записалась на УЗИ через 5 дней..ужасно страшно.
0
05.04.2025
Ответить
планирую беременность
Новоорск
Евгения, спасибо за вашу поддержку,она сейчас так нужна!
0
05.04.2025
Ответить
Мама мальчика (3 года)
Тула
Ольга, у вас в Новоорске есть Инвитро. Там можно сдать платно хгч
0
05.04.2025
Ответить
планирую беременность
Новоорск
Евгения,поеду на следующее УЗИ узнаю конечно.
0
05.04.2025
Ответить
планирую беременность
Новоорск
Евгения, я сама не с Новоорска,а с ближнего поселка.Узи делала в новоорске.
0
05.04.2025
Ответить
Мама мальчика (3 года)
Тула
Ольга, я бы уже на автобусе пилила в Новоорск на сдачу хгч. Еще 5 дней ждать… не дай бог что, до вас хоть скорая доедет?
0
05.04.2025
Ответить
планирую беременность
Новоорск
Евгения, скорая у нас есть,если что ,то экстренно везут в новоорск в больницу
0
05.04.2025
Ответить
Мама троих (17 лет, 5 лет, 4 года)
Минск
Евгения, тонкий он если ВБ после месячных обнаруживается,а так если месячных не было,то эндометрий при внематочной,такой же как и при маточной
0
05.04.2025
Ответить
Мама мальчика (3 года)
Тула
Марина, когда нет имплантации эндометрий больше 12-14 мм не бывает
0
05.04.2025
Ответить
Мама троих (17 лет, 5 лет, 4 года)
Минск
Евгения, серьезно? У меня без беременности он во второй фазе к месячным 14 мм,а если задержка,то и больше может быть
0
05.04.2025
Ответить
Мама мальчика (3 года)
Тула
Марина, и хамить не надо «серьезно». У всего есть погрешность 1-2%
0
05.04.2025
Ответить
Мама троих (17 лет, 5 лет, 4 года)
Минск
Евгения, в каком месте я нахамила? Я вам написала что эндометрий без беременности во второй фазе нормальный, овуляция происходит и соответственно эндометрий готовится к беременности,не важно наступит она или нет, имплатация вообще не при чем,если нет проблем с эндометрием,то к месячным он всегда нарастает не важно наступила беременность или нет и нельзя по эндометрию определить маточная беременность или внематочная, исключить внематочную можно только по УЗИ,когда находят пя в матке и больше никак,я не утверждаю что у автора внематочная,но стоит переделать УЗИ,может аппарат слабый например и ниже скинула пост,где внематочная беременность,когда бы и не подумал,там комбо и рост отличный и признаков не было,по эндометрию можно определить внематочную когда месячные прошли и он тонкий как в первой фазе и хгч растет,значит он с месячными вышел и маточная беременность тогда невозможна
0
05.04.2025
Ответить
Мама мальчика (3 года)
Тула
Марина, а о чем спор тогда? Я тоже говорю, что узи надо переделать, тк спорная ситуация. И хгч бы сдать пораньше.
А еще если вы тысячу таких историй накидаете как выше, то я заберу свои слова обратно. И я написала «чаще». Вот так. Всего хорошего.
0
05.04.2025
Ответить
Мама троих (17 лет, 5 лет, 4 года)
Минск
Евгения,тонкий эндометрий при внематочной только если она обнаружена после месячных и тонкий,он потому что с месячными его функциональный слой вышел,а во всем остальных случаях эндометрий просто соответствует второй фазе цикла,на него влияет действие прогестрона и по нему не определить какая беременность маточная она или внематочная,конечно только УЗИ,а не гадать по эндометрию
0
05.04.2025
Ответить
Мама троих (17 лет, 5 лет, 4 года)
Минск
Евгения, вот внематочная беременность и эндометрий 18 мм и хгч ещё отлично рос
https://www.babyblog.ru/user/anueta1993/30289
0
05.04.2025
Ответить
Мама мальчика (3 года)
Тула
Марина, а при чем тут хгч? Он и должен расти хорошо. То что у некоторых и хгч растёт плохо и при этом ВБ говорит только о сочетаемой патологии: ВБ и ХА.
0
05.04.2025
Ответить
планирую беременность
Новоорск
Евгения, девчонки,давайте не будете спорить пожалуйста..в четверг сьездию на повторное УЗИ,и напишу сюда о результатах.
0
05.04.2025
Ответить
Мама мальчика (3 года)
Тула
Ольга, я вообще не знаю о чем спор. Просто некоторым хочется самоутвердиться за чужой счет. На ББ особенно это распространено.
0
05.04.2025
Ответить
Мама троих (17 лет, 5 лет, 4 года)
Минск
Евгения, я про эндометрий пример привела внематочная беременность и он 18 мм как при нормальной маточной беременности
0
05.04.2025
Ответить
Мама пятерых (от 2 года до 11 лет)
Воронеж
У меня после прерывания матка плохо сократилась, видимо потому что срок большой, а ребёнка нет, не кормила грудью и естественный окситоцин не вырабатывается, искусственный не помог. И полость была расширена, в матке была жидкость, вот так же, как у вас на снимке. Я дополнительно колола окситоцин на 3 и 4 дц, но не помогло. Наступлению беременности не помешало, в 6 недель на снимке было еще видно эту расширенную полость и жидкость
0
05.04.2025
Ответить
планирую беременность
Новоорск
Алина, так у вас была обычная беременность?не много не поняла, простите
0
05.04.2025
Ответить
Мама пятерых (от 2 года до 11 лет)
Воронеж
Ольга, эта беременность сейчас. Да, обычная, со здоровым ребенком
0
05.04.2025
Ответить
планирую беременность
Новоорск
Алина, спасибо,не много успокоили..в понедельник сдам на ХГЧ
0
05.04.2025
Ответить
планирую беременность
Новоорск
Алина, так получается вот эта жидкость в матке и есть начало развивающийся беременности?вы на какой неделе делали УЗИ подскажите?
0
05.04.2025
Ответить
Москва
Ольга, я не очень понимаю зачем девушка привела пример свой, когда у вас вообще другая ситуация
У нее жидкость была в матке после прерывания беременности на большом сроке. К вашему случаю это не имеет никакого отношения
И жидкость в матке не есть начало беременности
0
05.04.2025
Ответить
Москва
Ольга, а у врача почему не спросили?
Я могу только предположить внематочную
И посоветовать сделать узи через неделю
0
05.04.2025
Ответить
планирую беременность
Новоорск
Галка, вообще врач сказала ,что буквально вчера была девушка с точно такой же проблемой через неделю то есть вчера ей сделали повторное УЗИ,и уже было видно нормальную маточную беременность.и что скорее всего через неделю мы увидим что все хорошо.и что скорее всего была поздняя овуляция и все только только началось развиваться.
0
05.04.2025
Ответить
Москва
Ольга, ну как поздняя овуляция, если у вас уже 10 дней тесты полосатят. Вам ниже Марина все правильно написала, что если отталкиваться от тестов, то у вас хгч уже за 1000 точно есть, а при таких значениях обычно пя уже видно
0
05.04.2025
Ответить
планирую беременность
Новоорск
Галка, в понедельник сдам анализ и посмотрю результаты.
0
05.04.2025
Ответить
планирую беременность
Новоорск
Галка, можно поинтересоваться у вас,вы сами были в такой ситуации или у вас медицинское образование?что вы прям предполагаете именно внематочную..мне просто интересно)
0
05.04.2025
Ответить
планирую беременность
Новоорск
Ольга, и если правда внематочная,почему же на УЗИ не видно что плодное яйцо прикрепилось в другом месте то,ничего не понимаю...🤔
0
05.04.2025
Ответить
Мама двоих (17 лет, 14 лет)
Москва
Ольга, с определением внематочной по узи все сложно, далеко не всегда видят.( У меня не видели, а по факту труба готова была лопнуть) Чаще всего ее диагностируют по косвенным признака. Хгч растёт (иногда лучше, иногда хуже), а ПЯ в матке не визуализируется. Совсем не обязательно, что это Ваш случай. Но пока ПЯ не видно в матке, при достаточно высоком хгч (или давно полосатых тестах) исключать ее нельзя.
0
05.04.2025
Ответить
Мама пятерых (от 2 года до 11 лет)
Воронеж
Ольга, нет. У меня эта жидкость н им его не значила, но она и не мешала зачатию. Я на узи раньше 6н не ходила. Там уже и эмбриончик был и сердечко. А это этого я хгч сдавала
0
05.04.2025
Ответить
планирую беременность
Каспийск
Девочки Вани привет , была вчера на узи
плодное яицо есть , но эмбриона желточного мешка нет , 😔сказали через неделю повторное узи, просто мне все говорят на этом сроке бывает уже и эмбрион и желточный мешок , у некоторых даже сердцебиение есть, может от того что у меня овуляция была поздняя . Я в замешательстве что ни чего не появится там
плодное яицо есть , но эмбриона желточного мешка нет , 😔сказали через неделю повторное узи, просто мне все говорят на этом сроке бывает уже и эмбрион и желточный мешок , у некоторых даже сердцебиение есть, может от того что у меня овуляция была поздняя . Я в замешательстве что ни чего не появится там
0
05.04.2025
Ответить
планирую беременность
Новоорск
Хадижа, давайте быть на связи,через неделю тоже будет повторное УЗИ уже.Вы анализ на ХГЧ сдавали?
0
05.04.2025
Ответить
планирую беременность
Новоорск
Fidem, к сожалению не сдавала анализ на ХГЧ,в нашем населенном пункте не делают такой анализ...на УЗИ тоже пришлось ехать в другой город(
0
05.04.2025
Ответить
Мама мальчика (1 год)
Даугавпилс
Ольга, жалко, так бы было понятно при каком хгч делали узи. Но, конечно, лучше ещё сходить на узи чуть позже.
0
05.04.2025
Ответить
планирую беременность
Новоорск
Fidem, да пойду на УЗИ через 5 дней,наверное пока дождусь,сойду с ума(
0
05.04.2025
Ответить
Мама мальчика (14 лет), планирую беременность
Красноярск
Ольга, а в городе, где Вам делали узи, можно сдать анализ хгч?
0
05.04.2025
Ответить
планирую беременность
Новоорск
Я верю в ещё одно чудо, к сожалению нет,это тоже не большой населенный пункт,там есть только платное УЗИ.
0
05.04.2025
Ответить
Мама мальчика (14 лет), планирую беременность
Красноярск
Ольга, в таком случае старайтесь меньше переживать и не ищите информацию в интернете...Только накручивать себя будете.
0
05.04.2025
Ответить
планирую беременность
Новоорск
Я верю в ещё одно чудо, да это точно..просто решила спросить тут,вдруг у кого то была такая ситуация.
0
05.04.2025
Ответить
Мама троих (17 лет, 5 лет, 4 года)
Минск
Сколько у вас тесты полосатят уже дней? Если с 1 дня задержки,то на 10 д.з хгч уже выше тысячи точно должен быть и пя найти
0
05.04.2025
Ответить
планирую беременность
Новоорск
Марина, в первый день задержки была слабая полосочка совсем,потом начало ярчать,и сейчас совсем яркая.
0
05.04.2025
Ответить
Мама троих (17 лет, 5 лет, 4 года)
Минск
Ольга, за 10 дней от первой еле видной полоски при хорошем росте хгч до тысячи дорастет,к примеру овуляция поздняя раз на первый д.з слабая полоска,ну может было 10-11 дпо,то через 10 дней уже 20-21 дпо и хгч от 1500 уже, жидкость меня тоже смущает
0
05.04.2025
Ответить
Вот Мой снимок