Отучам от бутылки..

Сама перестанет сосать из бутылки. Мой до 1и10 пил смесь на ночь, перед сном. Потом мы уехали в Турцию, ни бутылку, ни смесь я с собой не брала...кормила его ужином с общего стола. О бутылке и не вспоминал, даже когда рядом другие дети и малыши из нее пили... Приехали домой, я ему смесь развела, дала бутылку...он соску пожевал, помял...и бросил бутылку в угол! :))) Вот так вот за 2 недели забыл как сосать из бутылки. Всему свое время! ;) главное поймать удобный случай для отучения.
10.09.2012
не знаю, она за бутылку мать родную продаст ))
10.09.2012
 может сначала поильник с мягким носиком ей на замену предложить? мы иногда пользуемся поильником, только теперь с широким взрослым носиком а так дочь пьет из чашки
16.08.2012
нее, всё бесполезно! Я дала ей бутылку, её опять трясти начало из-за этого  ((
17.08.2012
Моему бутылка по барабану, но молоко или кефир он из кружки пить не будет, поэтому бутылка пока с нами. Только в соске прям совсем большое отверстие сделала.
15.08.2012
сначала убрала кормление из бутыдки.а потом мы ей пока в окошко помахали и все!ребенок не спрашивал вообще
15.08.2012
мы из неё не кушаем, а только пьём компот. А во-сколько вы бросили?
15.08.2012
совет? перетерпеть! можно поильник предложить. я в год убрала бутылку, но мы соску сосём, нам легче.
15.08.2012
мы пьём из поильника, но если не дай Бог, на улице у кого-нибудь увидет бутылку-поильник выбрасывает и я бегу за бутылкой домой Сейчас уснула на ночь..на долго ли )) 
15.08.2012
Зачем ты мучаешь и её и себя, сама постепенно откажется! У меня старшая до двух с бутылкой засыпала и сама как-то отказалась без проблемм, просто я предлагала бутылку, а она головой мотала нет не надо! Тебе что важнее нервы твои и ребёнка или чья-то фраза типо "большие уже с бутылкой ходить и спать"!?
15.08.2012
нам в сад в сентябре, с бутылкой не принимают )
15.08.2012
вы не переживайте, в саду они сами всё бросят, мой бросил и соску и бутылку с первого дня. А пока не мучайте.Я например не вижу криминала,если дитё ночь засыпает с бутылкой, это их успокаивает. Я своей специально даю на ночь молоко в бутылочке ещё и с маленькой дыркой, она пока её дососёт уже почти засыпает.
15.08.2012
вот если бы это было только на ночь..она у неё всегда во рту, вот хоть ты тресни! И забирала,и соску обрезала-вообще никак. 
15.08.2012
да и моя днем из бутылки пьёт. мне даже удобней. не проливает ничего. я поильник и не предлагаю. Иногда даю из чашки,если она сама проявляет интерес, но это обычно пару глотков из моей чашки.
15.08.2012
пришлось остаить, вчера перенервничала, опять трястись начала (нерфно-рефлекторная возбудимость у неё)
16.08.2012
ну тогда тем более не стоит.
16.08.2012
А в сад и не надо давать бутылку, в саду свои правила, дома свои! Там будет столько впечатлений, не до бутылки будет, даже и не носите её туда, а дома можно и уснуть с бутылкой, чтобы успокоиться после всех дневных трудностей!!!
15.08.2012
Мне кажется, рановато вы отучаете...До двух лет я давала дочке смесь на ночь в бутылке. А днем компот. Где-то после двух как-то само сошло на нет, чаще давали питье из чашки.
15.08.2012
нам молочное нельзя, пьёт только компот из бытулки и засыпает с ней. Пустышку не сосет
15.08.2012
Рано конечно вы лишаете ребенка бутылочки...мы в 1.9 начали, через полтора месяца стали смеятся над бутылочкой (ведь только маленькие ляли их сосут), по-тихоньку давали попить из кружечки.. и то если видели что хочем бутылку то давали бутылку, мы не сразу лишили ребенка бутылки.... может в садик первое время попросить с бутылочкой, ведь время надо...
15.08.2012
нет, там таких как мы, будет много..
15.08.2012
мы до 3 лет из бутылки на ночь пили,ну ни как не могли отказаться от этого...а потом поехали отдыхать и я не взяла с собой бутылку,а дома все спрятала..так само собой и отпало желание
15.08.2012
 а как прикорм даете, как часто сосет из бутылки? моя в 11 мес отказалась, кормила тогда только на ночь, старший бутылку в 1.3 сам выкинул
15.08.2012
у нас уже не прикорм )) вот она у нас в год пустышку выплюнала, а к бутылке присосалась. Нам в сад в сентябре, нужно отучать.
15.08.2012
некоторые пишут что до 2-х лет можно , но с этим согласиться не могу,сперва сосут соски, бутылки,а потом у некоторых такая фигня бывает , так что правильно,что отучаете
15.08.2012
ой, мамочки..потерплю лучше..
15.08.2012
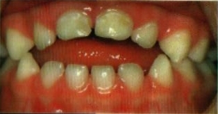
вот и так же сказала,когда стоматолог мне подобную картинку показала) вобще она говорила в 9 мес когда мы у нее были к году от сосок и бутылок отучить совсем
15.08.2012
Враньё, сын до 2,5 и соску и бутылку сосал, а зубы и прикус сейчас идеальные, не то что у меня,у которой в год всё отобрали)
15.08.2012
 я и написала "у некоторых", спорить с Вами не собираюсь,за что купила за то и продаю
15.08.2012
Сосёт пододеяльник, наволочку вместо соски. Вернуть соску? сосание пальчиков