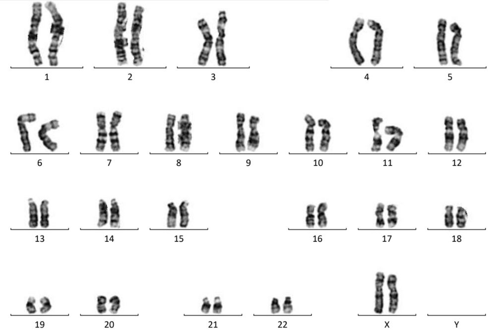
Результат цитогенетического исследования
Добрый день! Сдала кровь на кариотипирование в лаборатории Гемотест. Заключение: Нормальный женский кариотип. В приложении к заключению идет фото хромосом. Подскажите, пожалуйста, это нормально, что некоторые ровные, как струна, некоторые "кривенькие", а некоторые с квадратиком ? (см. фото)
"Кривизна" вообще на что-то влияет?
