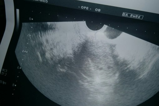
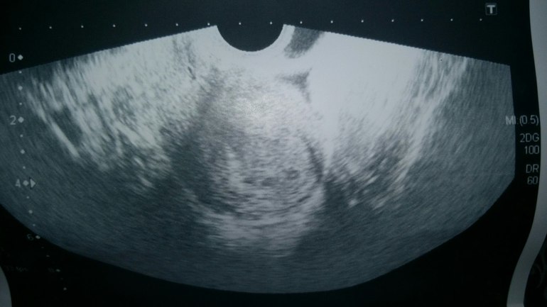
Завтра на УЗИ!

Двоих точно видно))
04.03.2016
Спасибо большое. Вот узистка сказала-либо второй, либо угроза... так переживаю, поскорее бы завтра)))
04.03.2016
Ждемс... Мне кажется двое! А то, что в роду не было, так ведь с кого-то надо начинать))).
04.03.2016
спасибо! минуты тянутся как часы))) поскорей бы уже раскрылась интрига)))
04.03.2016
Эх...удачи еа узи
04.03.2016
спасибо большое!
04.03.2016
О как, отпишите после УЗИ!😊😊
04.03.2016
Обязательно!!!
04.03.2016
Ждем вашего поста после узи!))) Удачи! 😊😊😊
04.03.2016
спасибо большое! А напишу обязательно!!!)))))
04.03.2016
Я в панике, на УЗИ не видно косточки носа! Помогите с КТГ...