Третий мальчик
Пол малышаБлин... так хотела девочку...
Люблю своих мальчишек.... но блин... девочку хотела...
Как спокойно и с любовью принять то что есть
Ирина
Кто бы что ни говорил, как ни утешал, а от этого хотения никуда не деться) я вас понимаю, сама такая же) время, только время... начнёт толкаться, будут следующие Узи и правда свыкаешься, сначала шок конечно... Но надеться на ошибку можно до последнего)
20.07.2018
Ответить
Ромашка
вот поднажмите на себя и примите, захотите мальчика срочно. Вплоть до того, что ходите и убеждайте себя: "Я довольна полом своего ребенка. Мне нравится пол моего будущего ребенка".
Я не раз и не два встречала, да и на своем опыте убедилась, что, когда очень хочется ребенка определенного пола, они это чувствуют и характер в некотором роде портится.
Психологи мне это объяснили так: на глубинном уровне ребенок чувствует, что мать им недовольна, что он изначально не таков и не любим (недостаточно любим), это дает трещину в идеальном симбиозе мама-малыш и в дальнейшем может обусловить проблемное поведение у ребенка.
11.07.2018
Ответить
Татьяна
Как только родите, вы забудите о всех своих предпочтениях и желаниях: в вас проснётся огромная любовь к вашему малышу и не важно мальчик это или девочка.
10.07.2018
Ответить
Светлана
А у меня два мальчика и я очень хотела ещё мальчика. Но..... Увы, девочка. Я несколько раз переспросила, не может ли быть ошибка. Расстроилась. Смирилась.
Давайте меняться))))
10.07.2018
Ответить
Наталья
Надежда ещё есть. 12 недель и пол по УЗИ - глупости. Но даже если и сыночек окажется - он тоже планирует жить) И это будет классно!
10.07.2018
Ответить
Екатерина
Мне в прошлую беременность, и в эту ,на 16 неделях мальчика обещали ,а на втором скрининге оказывалось ,что девчули😂
10.07.2018
Ответить
Ромашка
я думала, что сейчас уже не ошибаются, такие аппараты офигенные....а, оказывается, все возможно)))
11.07.2018
Ответить
Екатерина
Я Вам больше скажу...у нас друзья до 7месяцев мальчика ждали))) мы когда увидели фото с роддома ,с розовым конвертом в руках,чуть не упали😳!!! Говорят, что на 32 неделях увидели девочку😜 Я в шоке 😱
12.07.2018
Ответить
Ромашка
такой случай я знаю один только. Я была беременная и общалась активно на местном форуме, женщина ждала мальчишечку. Тоже она достаточно активно переписывалась с остальными и как-то на виду была что ли у нас. Отписывалась, как и что, потом что в роддом поехала, потом что родила.
И ей даже тему поздравлений оформили целую. ВОт мы ей, значит, туда поздравления с сыночком пишем, а потом от нее сообщение о том, что главная интрига нам неизвеста....и что это ОКАЗАЛАСЬ девочка. В родах оказалась.
Девочка выписывалась в голубом конверте))))
На узи, мама писала, вооот-такие достоинства видели. Куда оно все пропало - загадка))
12.07.2018
Ответить
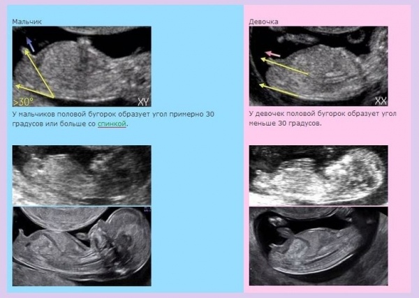
Annie
вот у нас тоже сына на первом скрининге увидели, хотя думали сестренка дочке будет. а потом наткнулась на эту картинку и решила пойти перепроверить)
10.07.2018
Ответить
Четыре
Это мы, родители, хотим разнополых. Детям лучше, когда они однополые. Во многом:)
10.07.2018
Ответить
Ann
вот мне хочется еще дочку. но вероятность то не велика. жду пока захочется ребенка. не захочется значит быть двоим.
Ваши мысли понимаю, может еще и ошибся врач. ну ничего, 3 пацана зато какие мамины защитники 😍
10.07.2018
Ответить
ЛедиМа
У меня два мальчика,сейчас третья беременность. С самого начала мне было всё равно,кто там сидит. А на узи в 12 нед выплыл повышенный твп. И понеслось.... Куча нервов, слёз,обследований позади и предстоит ещё. НИПС пообещал девочку. Но для меня сейчас пол совсем неважен. Поэтому радуйтесь,тому что у вас здоровый малыш)) ещё один защитник) к тому же,может потом пипка отвалится😂
10.07.2018
Ответить
Оставшиеся комментарии доступны после регистрации
Зарегистрируйтесь и получите полный доступ ко всем функциям сайта.