У ребёнка 11 лет.Сидим на обезболивающих.Может есть здесь специалист/ортодонт?
Стоматология
Что сделать на минимальных началах чтобы зуб встал на место?
А дальше будем копить деньги на брекеты
А дальше будем копить деньги на брекеты
ниже ещё 5 фото
Оказывается, чаще детям нужно в рот заглядывать! Там у нас кроме этого кариес на 3ех зубах.(((



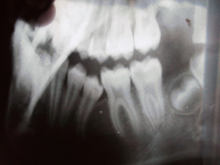
Мы регион. Ходили сегодня к стоматологу местному, отправили нас на снимок. Развели руками , говорят что такого они не делают, нам к ортодонту.Зуб полез с осени , начало каждого месяца боли/ сводит челюсть, ночами/днями с каждым разом болезненность увеличивается. Ехать придётся только 9 марта.
Маруся17
У нас была похожая ситуация, но не в такой форме, немного легче, так тоже намучились здорово, бегали от врача к врачу, пока не попали в СПб к Зверевой Юлии Дмитриевне = просто шикарный ортодонт, она смогла не только правильно диагностировать, но и исправить. Почитайте у нее на сайте про детскую ортодонтию http://my-ort.ru/detskaya-ortodontiya/
22.03.2017
Ответить
Наталья
Увидела , что Вы добавили фото дочи и проблема глубже чем только один зуб....скученность сестренке в 13 лет лечили индивидуальными капами( делали в поселковой стоматологии ) но опять таки после консультации ортодонта. Правильного смыкания зубов нет ...на самом деле многие думают только о красоте а не прикусе и смыкании.Если займетесь зубами доченьки - поверьте во многом избавите ее во многом от проблем с лечением- вставлением имплантов/ коронок и мостов! Пыс.сестренка носила капу после школы и ночью на протяжении года.
07.03.2017
Ответить
К@ТЯ
Спасибо.) Я уже начиталась, и выслушала опыт , могу предположить что нам грозит.
08.03.2017
Ответить
Dari
Вам пластинки еще нужны были... Скученность сильная. Еще восьмерки полезут, будет атас вообще. Вам без брекетов никак(. Копите. Ну или дочке потом придется заниматься самой, но потом сложно. Сейчас рост идет, можно расширить, чтобы все влезло.
Про контроль состояния полости рта вчера пост написала в дневнике.
07.03.2017
Ответить
Dari
На фото она нижнюю челюсть вперед выдвинула? Как у нее зубки смыкаются? Катя, напишите на форум, я серьезно. Там вам лучше помогут, чем здесь. Здесь нет ортодонтов. Ну или где-то в сообществе стоматология видела пост от девочки. Она ортодонт.
07.03.2017
Ответить
Dari
Я видела там пост. Кстати, периодические боли реально может давать семерка. По снимку видно глубокий кариозный процесс под пломбой. Внешне это не всегда заметно. Особенно если боли ночные... Такое характерно для пульпита. Проверьте семерку еще раз хорошенько. Может реально дело в ней, а не в пятерке. Вообще вам явно нужно показаться более компетентным врачам.
08.03.2017
Ответить
К@ТЯ
Стоматолог осматривал и я тоже смотрела , там пломба просто ямка не большая , прикус такой.В реале тёмного нет, это фото.Но всё равно завтра ещё специалист посмотрит.( нашим специалистам у меня есть повод не доверять) Я если честно тоже так думала, что какая то не характерная боль , начитавшись у меня не связывается.Завтра напишу всё.
08.03.2017
Ответить
Dari
Так внешне и не видно. Кариес может развиться ПОД пломбой, если она поставлена плохо, не герметично. А это обычное дело для поликлиники. У старшей две пломбы, поставленные в детской госполиклинике пришлось переделывать. На снимке есть затемнение слева на семёрке. Если это кариес, то он запросто может давать такие боли. У меня так болела кариозная восьмерка. Тоже раз в месяц начинала ныть вся челюсть, спать не могла.
08.03.2017
Ответить
К@ТЯ
да она так и говорит ноет сначала с перепадами под ночь сильные боли...завтра узнаем..
08.03.2017
Ответить
Наталья
У меня почти так же , до сих пор молочный заместо клыка а клык постоянный упирается в другой зуб и вылезти не может , но меня это не беспокоит почти, ортодонт сказал одеваются брекеты и под давлением зуб вылазит как надо это дорого , мне 30 только за брекеты насчитал и плюс обслуживание , я отказалась ...
06.03.2017
Ответить
Dari
Болит где именно? В области пятерки? Или где зуб мудрости? Вообще по этому снимку сложно что-то понять, надо панорамный. Ну и ортодонт, да.
06.03.2017
Ответить
К@ТЯ
нет не зуб мудрости. тот что наклонён и давит на коренной.Болит вся челюсть с этой стороны.
06.03.2017
Ответить
Dari
Это пятый зуб? Просто качество снимка совсем не очень... У вас раннего удаления там не было? Молочные зубы не удаляли?
06.03.2017
Ответить
Dari
Могу порекомендовать вам написать на стоматофорум. Приложите снимок и спросите совета. Не удаляйте ни в коем случае! Хоть это и кажется проще. Мне кажется, можно даже просто конструкцию сделать на два зуба и переместить быстро.
06.03.2017
Ответить
К@ТЯ
склоняюсь уже на удаление..
внешне он почти вылез, а на снимке видно что сильно давит.
06.03.2017
Ответить
Dari
Катя, это серьезная проблема с прикусом. Ею надо заниматься. Это ЗУБ, орган, он должен выполнять свою функцию. Вы можете удалить его, но тогда наклонятся соседние и она их быстро потеряет. Зубы сместятся. Это не просто так - раз и все...
06.03.2017
Ответить
К@ТЯ
У меня денег на ортодонта нет, если честно.( Хорошо что сказали, кто я ведь в этом не понимаю, спасибо.
Вы посмотрите, уголок мешает не много, если его подпилить..я не знаю можно ли так??? Хочу завтра пойти к нашим ещё раз попросить хоть чем то помочь.Помогите советом чем помочь ?
06.03.2017
Ответить
Dari
Я не специалист, просто сейчас прикусом занимаюсь. А что даст подпиливание? Зуб лезет под наклоном. Такое ощущение, что пятерка молочная пятерка удалена слишком рано и постоянному просто нет места. Что-то делать придется в любом случае... Удалить - это значит нанести сильный урон прикусу(.
Снимок еще нечеткий, непонятно, что там между 5 и 6. Нет ли кисты?
06.03.2017
Ответить
Dari
Катя, вы ведь поедете куда-то после 8 марта. Дождитесь этого момента пока, там будет новая информация и исходя из этого будете решать. Я бы так поступила... Состояние не острое? Куда вы поедете?
06.03.2017
Ответить
К@ТЯ
Спасибо! Сама бы я не смогла принять правильного решения, теперь точно решила что повезу дочь к ортодонту а там решим.
06.03.2017
Ответить
Dari
Катя, еще напишу. Не претендую на истину, но могу предположить, что боли могут еще связаны с попаданием микробов под это зуб, который наклонен. Там может быть карман. Десна вокруг не воспаленная? Такое состояние называется перикоронит. Чаще всего бывает при прорезывании восьмерок, но с другими зубами тоже бывает, если они неправильно лезут.
06.03.2017
Ответить
Наталья
не слушайте здесь советы ! тут только врач и на очном приеме сможет сказать.
Мне тоже лет в 12 удалили пятерку ( а могли бы и полечить,но денег у родителей не было.)лет до 25 проблем не было (как мне казалось-но верхняя пятерка над ним теперь сильно вниз выступает ),но как только полезли зубы мудрости( а это у всех в разном возрасте) 4 и 6 съхались, передние зубы с жуткой скученностью . "Здоровая сторона зубов" где все зубы -пришлось перед брекетами залечить 7 зубов сверху и снизу из-за того ,что жевала все на этой стороне. Но важно еще ведь сохранение прикуса...теперь только в 32 года я решилась на брекеты. извините , что так много написала.надеюсь понятно.
06.03.2017
Ответить
К@ТЯ
Кашмар какой!,.. Может ли он сам встать на место , меня волнует сейчас этот вопрос.
06.03.2017
Ответить
Dari
Вам же никто не ответит на этот вопрос здесь.
Напишите на форум, там врачи, они хоть примерно могут что-то подсказать. Хотя снимок у вас ужасного качества(.
06.03.2017
Ответить
Наталья
Сомневаюсь но еще раз повторюсь удаление , как и любое другое вам только ортодонт подскажет.
06.03.2017
Ответить
Fotini
Ну что делать. Или брекетами двигать(вряд ли пластинка тут спасет), или удалять. Удалять жалко конечно...
06.03.2017
Ответить