Киста в десне
СтоматологияДевы,кто удалял кисту на корне зуба? Каким способом и больно ли это? Во сколько вам это обошлось?
Екатерина
Удаляла кисту зуба тут https://dialdent.by/uslugi/hirurgiya/udalenie-kisty-zuba/, все сделали быстро и аккуратно!
15.11.2023
Ответить
Dari
Здравствуйте! Зависит от размеров кисты. Обычно или лечат каналы и ктста уходит сама в случае удачного лечения. Или делают резекцию, то есть удаляют кисту с верхушкой корня. Но и тот и другой метод не дают 100% гарантии даже у лучших врачей. Если каналы простые у зуба, то вероятность успеха выше.
Про боль в современной стоматологии нет речи. Анестезия же. После лечения анальгетик.
02.06.2023
Ответить
Элина Висенина
София, у меня была уже хроническая боль, врач сказал смысла нет, надо удалять
05.06.2023
Ответить
Катерина
София, отделение челюстно лицевой хирургии. Там все лежали или 8ками или с кистой.
Да. Пришлось зуб удалить вместе с кистрй. Хотя изначально делали все чтоб зуб сохранить.
Была прям операция- операция. У кого под общим нарокозом у кого под местным. Все индивидуально.
02.06.2023
Ответить
Надожда
Катерина, подскажите пожалуйста вас в отделение с острой болью положили? Или просто по направлению от врача? Читала что в отделение кладут при неотложных случаях, когда киста воспалилась. А так удаляют амбулаторно. Или может у вас на верхней челюсти была с вовлечением гайморовой пазухи?
Мне только предстоит это. Очень переживаю.
31.07.2023
Ответить
Катерина
Надожда, по направлению. Нужно где то недели 3 было ждать. Но потом позвонили из больницы и предложили лечь раньше если я хочу.
Была верхняя челюсть .но без вовлечения гайморовой пазухи
31.07.2023
Ответить
Анастасия
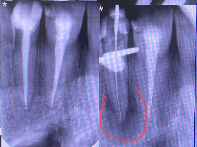
Я так намучалась с этой кистой. Обнаружили её 5 лет назад, записалась я в самую, как мне показалось, лучшую клинику , каждые две недели ходила на прием, через каналы закладывали лекарство, промывали растворами, спустя пару месяц сказали идем к лучшему результату, далее услышала «всё вылечили». Я даже не догадалась перепроверить. Как оказалось не вылечили, спустя 4 года (то есть год назад заболел этот зуб, несильно, но ощущения были странные) бегом ко врачу, рентген и каково было удивление, что киста на месте, переодонтит процветает. Была у 3 врачей, два сказали удалять через десну корень, третий вообще серьезной проблемы не заметил. Хороша не пошла к хирургу удалять, а решила всё таки найти грамотного специалиста. Нашла, да снова муторное лечение пару месяцев , не дешевое это «удовольствие» , но результат замечательный. Фото прилагаю (первый рентген обведено красным и спустя 6 месяцев)
Я так намучалась с этой кистой. Обнаружили её 5 лет назад, записалась я в самую, как мне показалось, лучшую клинику , каждые две недели ходила на прием, через каналы закладывали лекарство, промывали растворами, спустя пару месяц сказали идем к лучшему результату, далее услышала «всё вылечили». Я даже не догадалась перепроверить. Как оказалось не вылечили, спустя 4 года (то есть год назад заболел этот зуб, несильно, но ощущения были странные) бегом ко врачу, рентген и каково было удивление, что киста на месте, переодонтит процветает. Была у 3 врачей, два сказали удалять через десну корень, третий вообще серьезной проблемы не заметил. Хороша не пошла к хирургу удалять, а решила всё таки найти грамотного специалиста. Нашла, да снова муторное лечение пару месяцев , не дешевое это «удовольствие» , но результат замечательный. Фото прилагаю (первый рентген обведено красным и спустя 6 месяцев)
02.06.2023
Ответить
Екатерина
Было две кисты на разных зубах. На одном вылечили путем закладывания лекарства. На другом - резекция корня. Делала наверное лет 7-8 назад, эти два зуба на месте.
02.06.2023
Ответить
София
Анна, вас наверное не беспокоит зуб? И киста больше в размере не становится? Хотя мне врач сказал,что если с кистой в зубе ничего не делать,то это как жить на пороховой бочке,в любой момент может лопнуть или дать рост.
02.06.2023
Ответить
Анна
София, я о ней честно сказать и не знала. Нерв удалили, а потом в десне увидела белое пятно. Сказали киста.
спасибо за информацию, буду теперь на чеку.
02.06.2023
Ответить
Алена
мне ставили коронку и через 3 месяца я почувствовала давление внутри, на ренгене ничего не видно, пришлось удалять коронку с корнем и тогда уже увидели кисту. лекарства пила, антибиотики, мазь до удаления, ничего не помогло
02.06.2023
Ответить
Оставшиеся комментарии доступны после регистрации
Зарегистрируйтесь и получите полный доступ ко всем функциям сайта.