Все здравствуйте!
Вопросы о беременных и для беременных двойней
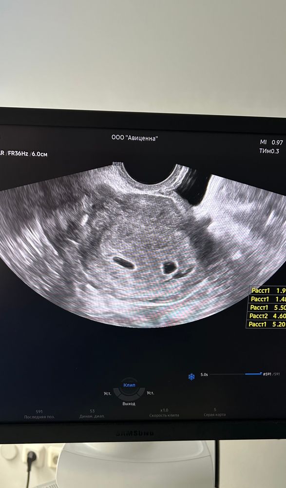
Помогите пожалуйста понять по узи, у меня двойня или близнецы?
Лучший ответ
Дарья Бондарева
Вааааай, как крутоооо!!! Поздравляю, вы вдвойне счастливая!!!!
16.06.2024
Ответить
Виктория
Разнояйцевая двойня, дихориальная диамниотическая, у каждого свое плодное яйцо и плацента будет своя.
16.06.2024
Ответить