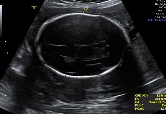
Овальная голова плода. Часть 2

Лучший ответ

Страшнее если бы она была квадратная. 😀Не волнуйтесь, все у вас хорошо и разница в норме. 🌹
04.04.2024
Юла, спасибо)
04.04.2024
эмм овальная у всех .
04.04.2024
Лекса @_SS_industry, я знаю, что она должна быть овальной. Это мой третий ребенок. Но, она вытянуто овальной формы. Я просто очень переживаю, так как это может быть долихоцефалия((
04.04.2024
Главное, чтоб с мозгом всё в порядке было
04.04.2024
Одуванчик, с ним все в порядке
04.04.2024
Liya, тогда вообще не о чем переживать. Посмотрите черепа- вид сверху практически всегда овальный
04.04.2024
А что не так с головой?)) Нормальная голова, не загоняйтесь вы так
04.04.2024
Так вроде у всех овальная голова?)) По остальным показателям всё ок?
04.04.2024
Victoria Sever, у нас она вытянутой формы, потому и показывает опережение.. именно от лба до затылка у нас она на 2 недели больше срока..
04.04.2024
Нормальная и даже красивая форма черепа. Успокойтесь уже. Свою голову сверху сфоткайте, тоже будет овальной.
04.04.2024
Витаминка, я знаю, что она должна быть овальной. Это мой третий ребенок. Но, она вытянуто овальной формы. Я просто очень переживаю, так как это может быть долихоцефалия.
04.04.2024
Liya, я думаю, что вы зря переживаете. Не накручивайте себя.
04.04.2024
Только вчера была на втором экспертном узи. Мне там сказали, что у нас круглая головка, и, когда я поинтересовалась, а как может быть по-другому (простите, для меня все головы круглые))), мне сказали, что может быть овальной, но и это тоже норма - просто особенности конкретной головки малыша))) Так что не переживайте, если врачи не переживают)))
04.04.2024
Ну нас при беременности хлебом не корми, дай о чем нибудь попереживать))) все нормально с головой.
04.04.2024
Anelena, дай Бог. Не говорите, пока не рожу изведу себя с этой головой на каждом узи((
04.04.2024
У меня племянник родился тоже голова овальная была, а сейчас конечно овальная, но это такое строение и очень умный и замечательный пацан . Это скорее всего просто строение такое у малыша. Наш сейчас возмужал и уже даже не скажешь что родился с овальной.
04.04.2024
Знакомая делала эко. Родилась двойня. У детей очень странное строение черепа, лобная часть очень большая. Я думаю, с возрастом всё изменится. Детки здоровые и любимые. А это главное.
04.04.2024
Tatyana, у нас лобная часть выглядит нормально, мы были на 4D узи и видели лицо малыша..
04.04.2024
Liya, это отлично!!! Я очень рада за вас.
04.04.2024
Оставшиеся комментарии доступны после регистрации
Зарегистрируйтесь и получите полный доступ ко всем функциям сайта.
28дпп, первое узи 24 недели живот в тонусе