
Знали об этом? Это касается и молочных, и постоянных зубов.
Во время сушки фрукты теряют
если впервые идет к стоматологу:
⛔"Тебе не будет больно и страшно!"
Взбодрили🙈! Представьте, вам рекомендуют массаж и постоянно твердят: "это абсолюююютно не больно! Чеееестно!" Настораживает, правда?
⏺Лучше:

Начнем с определения:
✔Фиссуры- естественные борозды и углубления на поверхности жевательных зубов.
✔Герметизация фиссур- заполнение их специальным стоматологическим материалом.
✅Для чего?
Если он боится стоматолога.

1. "Не бойся". Не поможет. Вот вам в ситуации сильного нервного напряжения достаточно, чтобы кто-то рядом сказал:" Расслабься"?
Привет!
Давно тебя такой злой не видела! Не взяли на работу?
К сожалению, отголоски "той самой" стоматологии можно увидеть и сейчас.

лечатся)
Без "сверления" и постановок пломб.
Чаще в один визит!

спешу напомнить о том, что НЕЛЬЗЯ:
1. Использовать во рту ЗЕЛЕНКУ ( обрабатывать места травмы, удалений, участков стоматита...)
2. Использовать 3% перекись водорода! Максимум 1%!
3. Использовать марганцовку!
4. У малышей использовать неразбавленные лекарства на основе спирта (я бы вообще их запретила, но многие педиатры, увы, их усиленно рекомендуют)
Все эти препараты могут вызывать такиииииие химические ожоги, что лечение стоматита покажется радостью после пережитого лечения этих последствий!
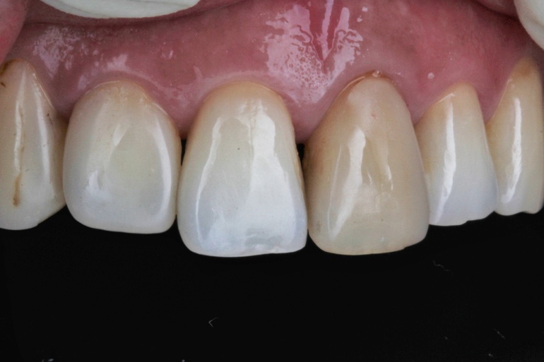
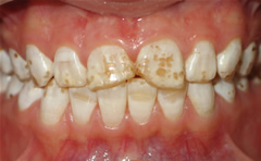
в общем, к ВАО Москвы добавился еще и Красногорск с близлежащими районами по количеству фтора в воде! Флюороз- наш друг!
фото из интернета
Информация достоверная....К сожалению.
Такой я получила подарок от моих маленьких пациентов)
Спасибо большое! Очень приятно! Аж мурашки от удовольствия))))

Да, и даже в моей многолетней практике встречается что-то впервые.
Сегодня как раз такой день.
Сегодня я вылечила 4 зуба ребенку, возраст которого 11 месяцев и 9 дней!!!!!!!
2 зуба пломбировали, 2 лечили Айконом.
У меня до сих пор мокрые ладошки, как вспомню!
Я малыша даже дочей называла...... представляете степень моего волнения!
Все позади!
Родители- настоящие молодцы и помощники! Снимаю шляпу! Такое понимание и единение в работе... Спасибо еще раз!
А самое главное- ЕГОР !!!!!!!! Просто! Нет слов! Это...Это... Это....
Будь здоров, малыш))))))
-------------------------------------------------------------------------------------------------------------
В постоянную практику лечение такого возраста вводить не буду...Боюсь, до следующего Нового года не доживу, переживая такие эмоции))
Звонит мне сегодня одна мама:
- Здравствуйте. Что Вы можете посоветовать принять ребенку ( возраст 3,4) при острой зубной боли?
По объяснениям понимаю, что речь идет о пульпите.
- Извините, но домашнее лечение не поможет. Стоит обратиться очно к стоматологу.
- Нееееееееееее, мы не пойдем...Зачем? Мне бы недельку перетерпеть, чтобы не ныл, а там все равно КОНЕЦ СВЕТА!
-------------------------------------------------------------------------------------------------------------------------
Вы что?!?!?! Если у Вас конец света, причем тут дети?
-------------------------------------------------------------------------------------------------------------------------
Вроде, и сегодня он планировался... Отменили? Контрольный выстрел перенесли на двадцатые числа?
--------------------------------------------------------------------------------------------------------------------------
Возьмите себя в руки!
Хотя у меня рабочий день. И я на работе.
А все потому, что меня за несколько часов до визита ставят в известность, что ребенок болеет, что кто-то не успевает вернуться из Подольска....
-------------------------------------------------------------------------------------------------------------------------------------------
У большая к Вам просьба- если Вы понимаете, что Вы не можете по каким-то своим причинам попасть ко мне на прием, пожалуйста, ставьте меня в известность заранее! Отмените визит.
Или хотя бы ответьте на телефонный звонок, когда я звоню подтвердить визит заранее.
Я ведь никогда не спрашиваю: "Почему?"
Не можете...
Спасибо, что предупредили)
Ведь освободившегося времени могут ждать другие малыши.
--------------------------------------------------------------------------------------------------------------------------------------------
Спасибо за понимание)
Пост, сразу скажу,будет гневным,т.к. уж сильно меня задела за живое вся сложившаяся ситуация.
И фотографии противные.
И размышления резкие.
Поэтому, если Вам неприятно смотреть и Вы всегда этичны к своем коллегам, не стоит читать этот пост)
Открыла карман рабочей сумки для ноутбука.... А там...
Впечатлительным не смотреть)
