Беременность есть! УЗИ, угроза и куча вопросов!
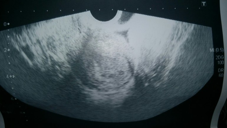
Девочки, всем привет! Может кто помнит, я тут тесты свои выкладывала и очень многие поддерживали меня, рассматривая со мной еле заметного призрака.)) Спасибо Вам! Потом тесты ярчали, полоски сравнялись. ХГЧ не сдавала. Сегодня получается примерно 20 ДПО. И мы только пришли с УЗИ! Новость первая -беременность есть! И она маточная! Нам 3 недельки по УЗИ. Новость вторая- под вопросом двойня... Фото с УЗИ прилагаю, думаю, рано еще о чем-то говорить. Вы как думаете, что видите? Врач сказала, что ей самой интересно и контроль через 10 дней. Новость третья- не очень хорошая- поставила угрозу. Вот глядя на снимок, не могу понять, как и где она это определила... в итоге назначили Фемибион 1, Магне б6, Дюфастон аж 4 табл. в день. Не много ли??? Так не хочется мне на таблетках сидеть. а если вдруг что... ТТТ. может угроза из-за того, что дочку много таскаю... Что делать, не знаю...
Сумбур какой-то в голове... Не проходите мимо, любое ваше мнение важно!
и фото с узи 
Это так на снимке получилось, на экране было отчетливо 2-е горошинки.
Главное, чтоб все было хорошо...
) сходила вот купила таблеточки, буду пить!
может так на снимке просто получилось, на экране отчетливо было видно 2) в общем, тайна раскроется дней через 10)))
посмотрим, что будет на след. узи)))