Узи шейки фото/расширенный зев
Пессарий, ИЦНДевочки, может быть у кого-то есть фото с узи шейки с расширенным зевом? Интересно как это выглядет на снимке..кому не лень, пришлите пожалуйста 🙏
Интересно у кого какое открытие было, и кто доходил до срока, с пессарием или без него.
Zvezdochka
В 26 недель открытие 0,6 шейка 23. Поставили пессарий, в 32 открытие более 20 мм, шейка практически сглажена. В 35 сняли пессарий, в 37 вызывали роды.
05.06.2021
Ответить
Zvezdochka
ДетямБыть, да, может, раскрываться, увы. лучше придерживаться покоя. Пессарий распределяет нагрузку на шейку, но не исключает ее.
06.06.2021
Ответить
ДетямБыть
Zvezdochka, а что вам врачи говорили на такое открытие на таком сроке ?
06.06.2021
Ответить
Zvezdochka
ДетямБыть, на какое? Полазила в дневнике, оказывается у меня ещё больше открытие с 32 было чем мне помнилось… ничего не говорили. Начнутся схватки-пойдёшь в роды. А пока тянем. главное, чтобы инфекции не было.
06.06.2021
Ответить
Zvezdochka
ДетямБыть, а сейчас я говорю врачу, нам 25 недель, внутренний зев 10 мм, она отмахнулась. Сказала, анализы хорошие, инфекции нет. Пузырь высоко, головка тоже. Главное, чтобы не было тонуса и дальше открытия. А если так и останется, то ничего. В общем мониторинг наше все, только на основании одних показаний узи никаких выводов никто не сделает.
06.06.2021
Ответить
Лёля
Фотка есть, но не найду сейчас.. на 32 неделе шейка резко стала 6 мм, и внутренний зев был открыт на 5 мм. И ничего. Ходила, бегала, скакала, и тяжёлое порой приходилось носить. Доносила до 38,3 недели.😅 причем пришла рожать, а шейки на узи уже видно не было. Только нащупали что открытие есть. Без пессария кстати. И малышка уже была очень низко, врачи думали рожу. Но неееет. Дочь решила, что раньше времени не полезет.
Но это не значит, что у всех так. Кто то и с шейкой в 20 мм доходить не может. Видимо это все от организма зависит.
05.06.2021
Ответить
Многомама
О моя бывшая" больная тема". Всех детей перенашивала, а в 4 беременность ицн. Шейка была 27мм в 20-21 неделю, сказали наблюдать, но я как чувствовала( кололо в шейке) вызвала в скорую, в стационаре на ледующий день шейка 13 мм 13... И расширенный зев на 1 см.меня сразу шить, без анализов, так сказать срочно, и как Бог даст. Анализы после операции пришли отличные, поэтому доносила и родила в срок. А вот моя сестра с писарием родила недоношенного малыша на 29 недели. Ребенок Слава Богу здоров. Так что все индивидуально.
05.06.2021
Ответить
Яна29
Многомама, да это точно!
Как моя придурошная гиня в жк сказала : ооо вам юнону поставили??? А что не арабин?? У меня все открылись с этими юнонами.
А я хожу ей назло дурище!!! Чтоб лишнего не говорила.
05.06.2021
Ответить
Анна
В 24 шейка была 24 мм, в 27 уже раскрытие внутреннего зева с пролаббированием плодного пузыря, шейка 20 мм. Доходила до 34 недель без швов и пессария, только на утрожестане. С 28 недель лежала в стационаре, 2 недели наблюдали шейку в динамике - ничего не менялось.
05.06.2021
Ответить
ДетямБыть
Анна, ого, очень воодушивляет такая история 🙏спасибо ❤️ а открытие сколько было в 27 что пузырь пролабировал?
05.06.2021
Ответить
Анна
ДетямБыть, сейчас не вспомню уже🤷♀️ но прилично было, почти наполовину разомкнут был.
В первую Б. тоже шейка 24 мм была со 2 скрининга. ИЦН под вопросом ставили, доходила до срока, все хорошо было. А во вторую вот как то так. Поэтому на втором скрининге и длина шейки не смутила. Если пойду за третьим - скорее всего будут шить
05.06.2021
Ответить
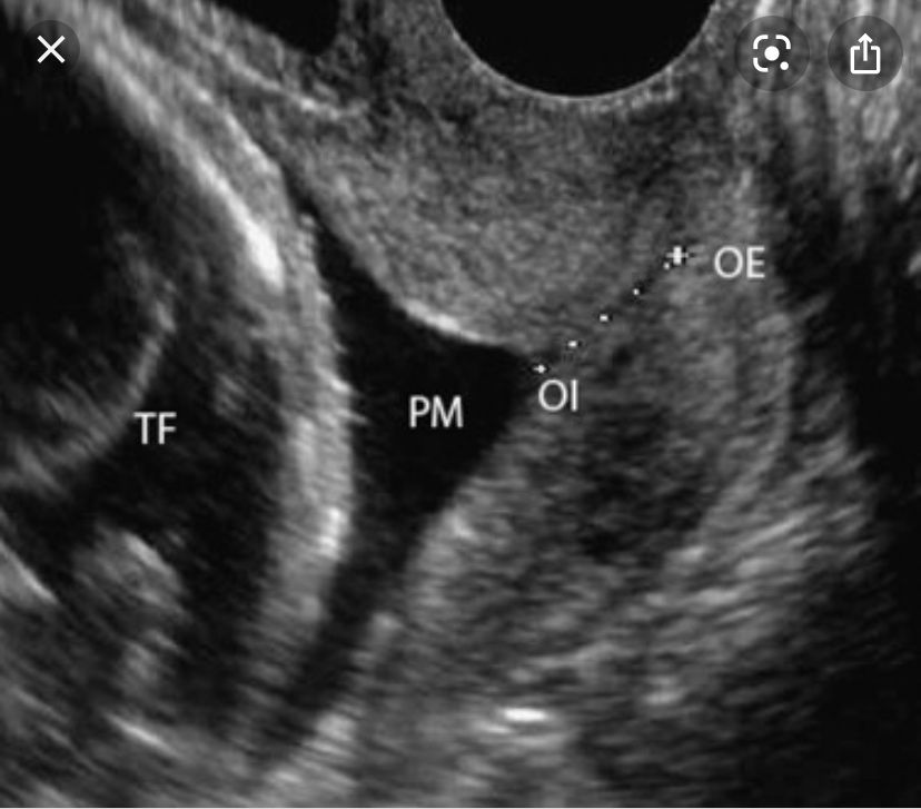
Minou
Там по разному может быть. Ну вот из Гугла, например, V-образное открытие внутреннего зева. TF - голова плода, OI - внутренний зев, OE - внешний зев, OI-OE, соответственно, длина цервикального канала, точнее того, что от него осталось из-за открытия.
05.06.2021
Ответить
ДетямБыть
Minou, спасибо) Гугл я уже весь пересмотрела😄 интересно реальные истории, у кого какое открытие было, и кто доходил до срока))
05.06.2021
Ответить
Яна29
ДетямБыть, в роддоме по прибытию туда в 25 недель, намерили мне шею 19мм и воронкообразное открытие 0.9см. После пессария все закрылось и удлинилось
05.06.2021
Ответить
ДетямБыть
Яна29, а закрылся прям сразу после установки, или через какое то время? День, Неделя, две, три?
05.06.2021
Ответить
Яна29
ДетямБыть, поставили пессарий, через 2 дня сделали узи, прлверили как стоит и посмотрели шейку. Все закрыто было и 26мм. А уже через 2 недели стало 32мм. Так и держится до сих пор ттт
05.06.2021
Ответить
ДетямБыть
Яна29, да, пессарий арабин. И укорочение и открытие. Поставили на 23мм и зев 9мм в 27 недель, через 3 дня сделали узи, все так же, без изменений, выписали спустя 2 недели без ухудшений. Через 10 дней шейка 23, зев 11. Через 14 дней (вчера) вроде как шейка 26 стала, но зев так же 10-11. А меня именно зев и смущает
05.06.2021
Ответить
Яна29
ДетямБыть, ну и не с таким зевом ходят и ходят девочки. Не паникуйте. Больше лежать. Меньше напрягаться. Врач что говорит?
05.06.2021
Ответить
ДетямБыть
Яна29, врачи говорят все стабильно, не паниковать. Но легко говорить когда это не твоё)) я не могу расслабиться и успокоиться ни как, вот уже месяц, как это все обнаружили)
05.06.2021
Ответить
Яна29
ДетямБыть, я вас понимаю!!!!! Сама более менее успокоилась как 32 недели стукнули. Теперь жду 34 нед)
05.06.2021
Ответить