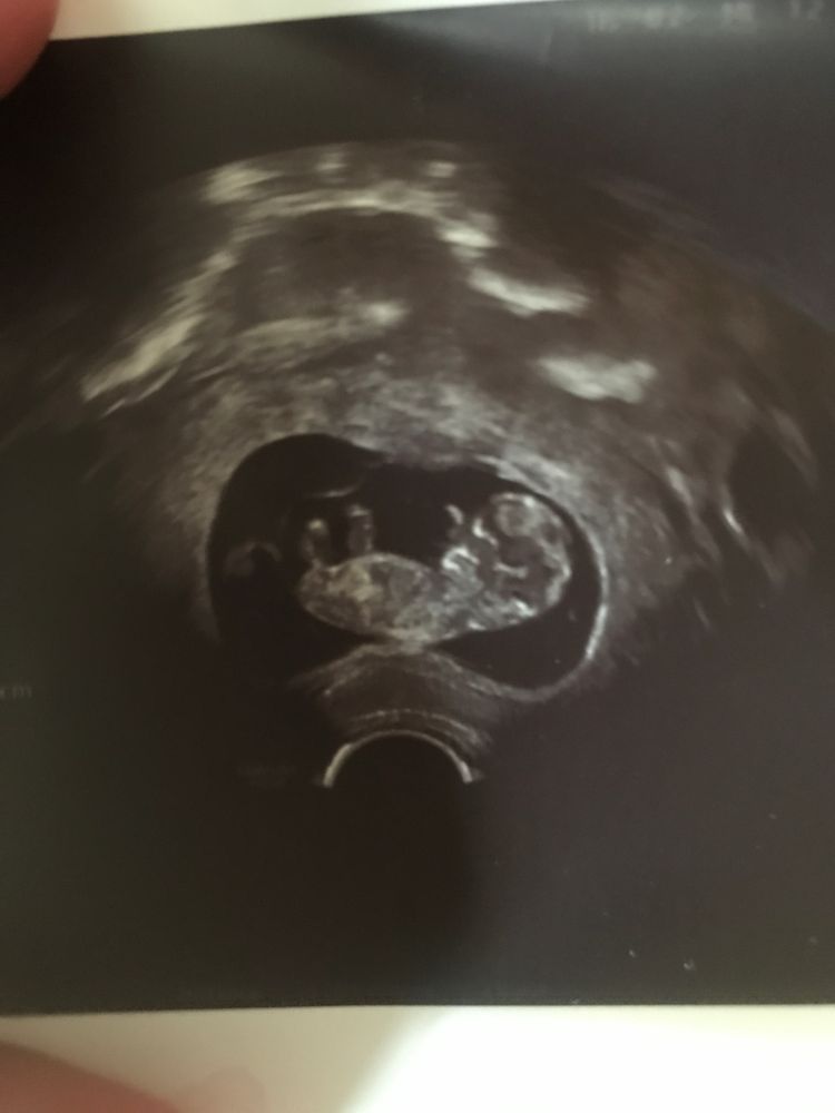
Мальчик или девочка

Лучший ответ

Здесь не видно половой бугорок. Если не терпится - сдайте кровь на определение пола))
02.06.2022
Думаю что мальчишка😊
02.06.2022
Слишком рано еше предположить .
02.06.2022
Я почему то думаю мальчик )
02.06.2022
Мне кажется мальчик
08.06.2022
Ребёнка 😉
02.06.2022
Мальчик
02.06.2022
Ребёнка 😅 очень рано для определения пола
02.06.2022
Если мы играем - то я ставлю на девочку)))
02.06.2022
Здравствуйте)) Обратите внимание на московские роддома. Вы имеете право рожать в любом роддоме по омс, в том числе в Москве. Если вы получаете свидетельство рождения в роддоме, то вам положены подарок «Наше сокровище» или денежная выплата в размере 20 000 рублей, скрининг новорожденного на 11 показателей и сертификат на прохождение 5 специалистов в одной из лучших детских больниц Москвы. Оставить заявку на роды или узнать информацию можете на сайте проекта Роды в Москве :)
03.06.2022
Кому ещё не говорят пол? Мальчик или девочка? 🎁