УЗИ в 16+3❤🤞🤞🤞
УЗИ, КТГ, доплер
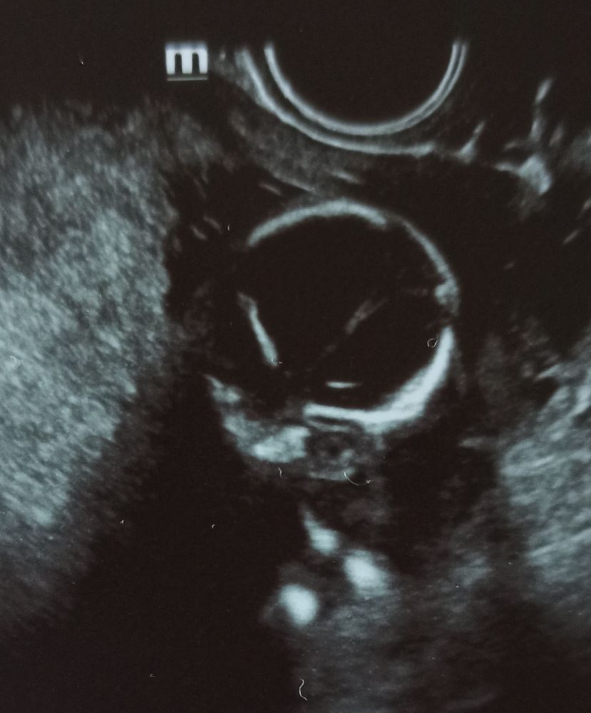
Единственное, что смутило, что костная часть спинки носа маловата - 3,3 мм на сроке 16 недель и 3 дня ( норма в 16-17 недель - от 3,6 мм). Я думаю, это не критично и НИПТ развеет все сомнения. Остальное всё в норме, соответствует сроку. Вес сыночка 166 грамм.
На фото открыл глазки:
Хорошо подрос:
И хозяйство своё не прятал:

Катюнечка Солнышко
У нас на втором скрининга доктор тоже долго искал удачный ракурс, чтобы корректно измерить носик, долго крутил малыша - то, как он выглядел изначально доктору не нравилось. Родился наш крошик, отличный у него аккуратный нос)))
Думаю вас тоже особенности физиологии ❤
27.05.2024
Ответить
Алёна
Катюнечка Солнышко, у меня это промежуточное УЗИ, просто для себя платно прошла. Я посмотрела по калькуляторам кость носа действительно маловата, хотя сейчас её не измеряют, узистка ранее на других сроках не измеряла, просто ставила "+" визуализируется, это я настояла измерить. С младшей НК на этом же сроке была 4,5 мм.
27.05.2024
Ответить
Алёна
Таша, во- первых, по 2- ому биохимическому скринингу крови в 15 недель показало высокий риск трисомии 21
1:10
превышен ХГЧ 2,66 МОМ ( норма до 2,5 МОМ)
занижен эстриол 0,46 МОМ (норма от 0,5 МОМ);
Во - вторых, сегодня по УЗИ в 16+3 носовая кость маловата - 3,3 мм ( норма в 16-17 недель от 3,6 мм);
В-третьих, зная эти риски, без НИПТ не обойтись, придётся сдать, если бы их не было, то я бы не сдавала.
27.05.2024
Ответить