Наша бусинка ❤️
У нас получилось! Я беременна!
4нед 6 дней по месячным
19ДПО
6 дней задержки
Для нас сейчас самое главное, что беременность маточная. Держись, сюрпризик, мы тебя очень ждём 🤗
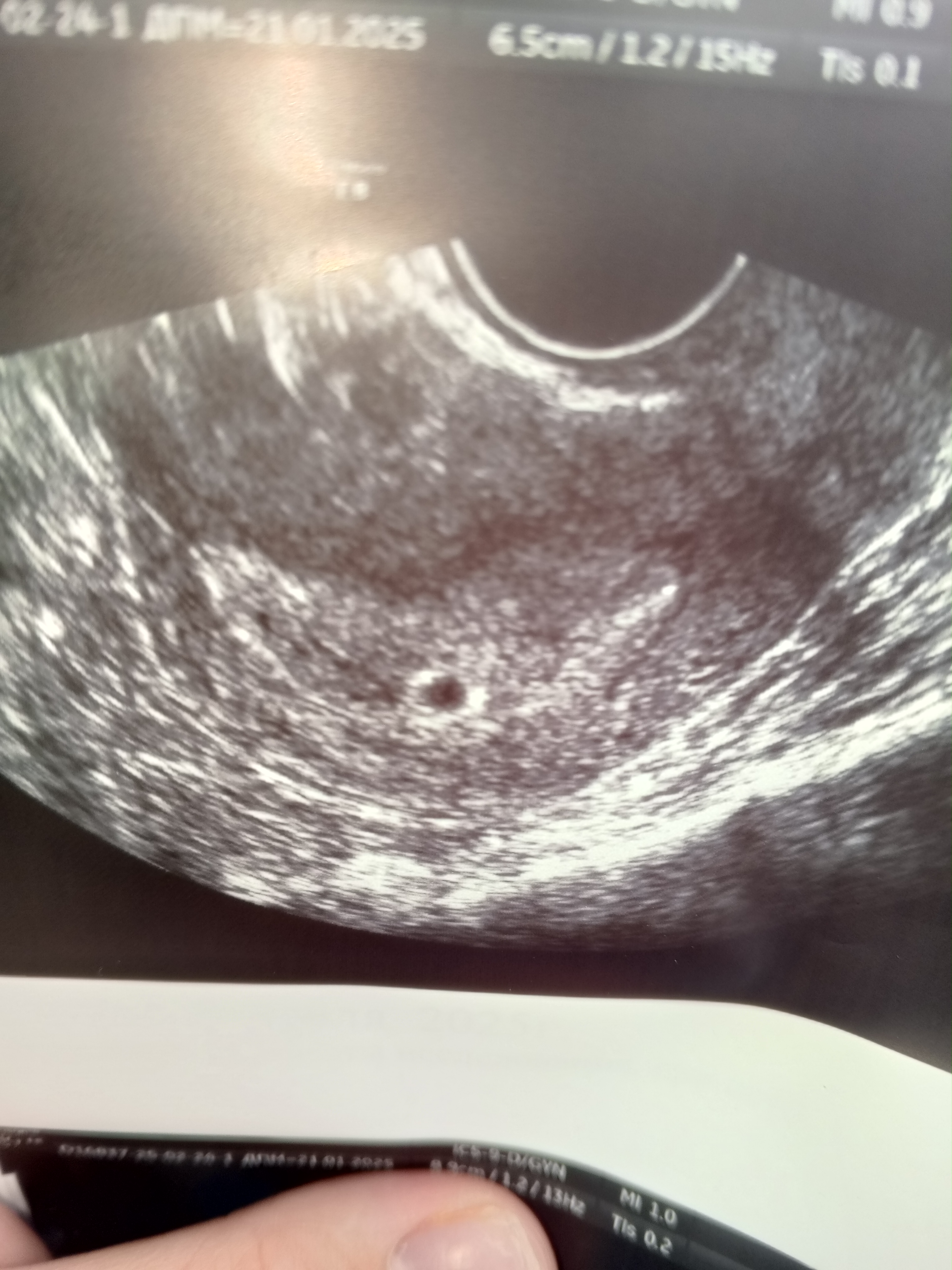
4нед 6 дней по месячным
19ДПО
6 дней задержки
Для нас сейчас самое главное, что беременность маточная. Держись, сюрпризик, мы тебя очень ждём 🤗