Была на узи 20 числа, увидели малюсенькое плодное яйцо, заключение бер до 5 недель ( по моим подсчетам 4,4-4,5), Имеет ли смысл переделать узи через 10 дней? Чтобы увидеть эмбриона и услышать сердечко. Или слишком рано? Врач сказала переделать через неделю, но есть ли в этом смысл? Хотелось бы потом с этим же узи идти на учет вставать, а не передел
28.06.2025 сегодня была на узи. Плодное яйцо 21,4мм внутри ничего не увидели. Врач сделала заключение анэмбриония. Мне так кажется или в плодном яйце что-то виднеется?

Когда примерно было зачатия как посчитать.Если на 28.05.25 было 6недель.1 день по узи. Начало последних месячных 10.04.2025. А акты были 20.21.22 и 28. Какой вероятнее день?
02.06.2025 хгч было 437 мМе/мл.05.06.2025 была на первом узи, плодное яйцо было 3,7мм маточная беременность🥹 Сказали придти на повторное узи через 2 недели чтоб услышать сердцебиение. Я пошла 17.06.2025 и плодное яйцо 13 мм, но внутри ничего не увидели. Успела поплакать, так как врач напугала меня сказав что беременность может быть не развивающейс
Всем здравствуйте!
Вчера была на приёме у своего гинеколога, врач начала мерить и трогать живот и говорит «такой большой уже» я ей говорю «ну все таки срок уже 29 неделек» а она мне и говорит «срок то 29, а по размерам на 32 недели малыш»
у кого так же было?🥲 неужели малыш родится с большим весом? Или возможно раньше срока рожу?
Я беременна 4 недели два дня зарегистрировалась тут чтобы найти беременяшек с которыми будем делится ощущениями и советами ❤️
Время летит как бешеное... Я вообще не готова ещё))) а уже 34 неделя. Шокшокшок. Недавно был шок, что начался 3 триместр. А вот уже как. Я продолжаю потихоньку гулять, покупать немножко вещи.
Мама заказала мне красивый конверт на выписку❤️ вот жду доставку послезавтра))) А я занимаюсь в основном какими-то домашними делами, перес
Беременность очень долгожданная (4года) и достаточно неожиданная, т.к киста была и все говорили, что беременность невозможна.
Соответственно сейчас все мысли заняты только беременности, читаю записи других, но хотелось бы пообщаться с теми, кто рядом со мной, буду рада отклику, а если еще и с ЕКБ, то было бы Мега замечательно😁
Ну, или может бы
всем привет !
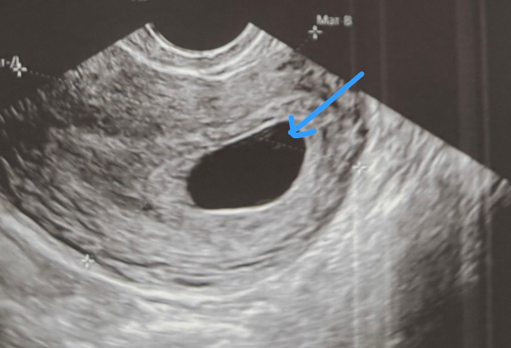
дошла до узи наконец - то , по моим подсчетам у меня 6 недель ( первый тест показал 4 июня), внутри ничего пока не визуализируется , по словам врача 4 недели … хгч ровно неделю назад был 171
разве не должно на этом сроке плодное яйцо быть больше ?
Всем добрый вечер или ночь) сегодня наступила 33 неделя. Животик потихоньку растёт, а вес нет, что не может не радовать)) на последнем приёме прибавка составила минус 200 гРамм)
Ребёночек начал икать🤪 не очень мне приятно, когда живот вздрагивает долгое время. Но, говорят, это хорошо. Что-то там говорит о развитии, если нет гипоксии. Никак