Узи 7 недель, отставание по ктр или ошибка узи? Очень нужна поддержка
УЗИ, КТГ, доплерПривет девочки, поделитесь пожалуйста своим опытом. У кого была похожая ситуация?
Была сегодня на первом узи, по месячным 7+2, по овуляции должно быть 7+0 или 7+1 (отслеживала тестами и по ощущениям), первый призрак увидела на примерно 9 дпо.
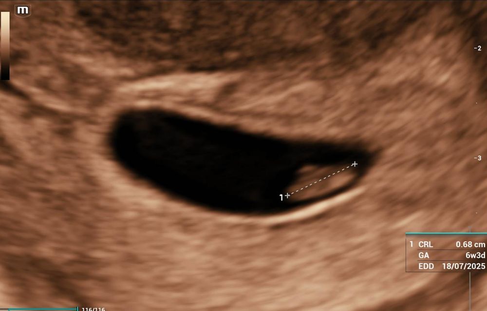
ктр 0,68мм что аппарат считал как 6+3, но это невозможно так как не могла же я получить положительный тест на 3-4дпо. Второе фото - желточный мешок. Ни ЖМ ни ПЯ не измерили.
Сб+, на этом сроке у нас не считают частоту, только смотрят мерцание. Мне показалось достаточно медленное, но врач сказала что хорошее и ритмичное.
Но непонятно сформулировала - в целом хорошее, или для 6+3 хорошее.
Судя по тому как менялась картинка - ЖМ находится позади эмбриона, тк видно либо одно либо другое, ей прям приходилось копошиться во мне чтобы показать.
Может это неудачный ракурс узи изначально? В первую беременность то ли у другого врача был аппарат узи лучше, то ли ПЯ было удобнее для трансвагинального узи расположено - видно было их рядышком, без вождения датчиком. Перепроверить в другом месте в ближайшие дни никак - везде запись через неделю-две, мне поставили повторное узи через неделю у моей акушерки.
Читаю истории - везде где реально отставало на 5 дней исход плохой( Последняя надежда что аппарат плохой и пока там всё такое маленькое - не получилось нормально замерить. Снимки вроде шакальные прям. Хотя акушерка прям старалась, долго водила(
Как думаете, может кто-то разбирается в "качественности" узи по картинке? Очень переживаю, тк первая беременность закончилась потерей, и к этой шли очень долго и тяжело.
Лучший ответ